안녕하세요 여러분의 피부·미용 주치의,
닥터도도(Dr. DoDo)입니다.
거울을 볼 때마다 눈가에 오돌토돌하게 올라온 작은 돌기들 때문에 스트레스를 받는 분들이 참 많습니다. 화장으로 가려보려 해도 오히려 도드라져 보이고, 손으로 짜내려 해도 잘 짜지지 않아 고민하시곤 하는데요.
"눈 밑에 자꾸 뭐가 올라오는데, 이거 집에서 짜도 되나요?"
"한두 개 생기더니 점점 번지는 것 같아 걱정이에요."
진료실에서 이런 질문을 받을 때마다 저는 절대 함부로 손대지 마시라고 당부드리곤 합니다.
오늘은 한관종과 비슷해 보이지만 그 성격이 전혀 다른 ‘비립종’을 어떻게 안정적으로 제거하는지, 실제 사례를 통해 그 과정을 자세히 보여드리려 합니다.
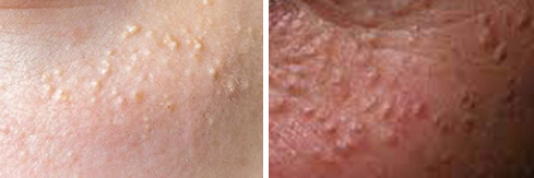
눈가 비립종, 시술을 위해 내원하신 환자분

(*우리 병원 환자분의 동의를 받아 게재하는 사진입니다. 무단 도용 및 복제를 금합니다.)
최근 우리 병원을 찾아주신 환자분의 사례입니다. 눈 밑에 오돌토돌한 것들이 계속 올라와 인상이 지저분해 보이는 것이 고민이라고 하셨는데요.

내원 당시 상태를 보면 눈가 주변으로 좁쌀 형태의 돌기들이 관찰되었습니다.
육안으로 보기에는 한관종과 혼동될 수 있지만, 자세히 들여다보면 미세한 차이가 느껴집니다.
환자분과 충분한 상담을 통해 현재 병변의 상태를 파악하고, 피부 손상을 줄이면서 효과적으로 제거할 수 있는 디자인을 세운 뒤 본격적인 시술 계획을 잡았습니다.
비립종 제거, 시술 직후 반응과 통증은?

비립종은 피부 진피 내에 표피 성분이 과증식하여 발생하는 낭종의 일종입니다.
확대해서 보면 좁쌀 크기의 돌기 안에 노란색 각질 덩어리들이 차 있는 것을 볼 수 있는데요.
시술 직후에는 해당 부위가 약간 붉어지거나 미세한 부기가 있을 수 있습니다.
환자분들 중에는 시술 후 피부가 너무 자극되지 않을까 걱정하시는 분들도 계시지만, 비립종 제거는 병변만을 타겟으로 하기 때문에 큰 부기는 보통 2~3일 내에 가라앉고 잔부기도 1~2주면 자연스럽게 소실되니 안심하셔도 좋습니다.
그렇다면 시술 후 경과는 어떻게 달라졌을까요?
비립종 제거 후, 깨끗하게 달라진 눈가 모습

미세절연침 레이저를 활용해
2회 시술을 진행한 후의 모습
오돌토돌하게 눈가를 뒤덮고 있던 노란 각질 주머니들이 깔끔하게 사라진 것을 확인할 수 있습니다.
눈 밑 피부가 한층 매끄러워지면서 전체적인 인상도 훨씬 환해졌지요.
시술 전과 비교해보면, 차이를 조금 더 명확하게 비교해볼 수 있는데요.
눈가 비립종 제거, 시술 전·후 사진 비교


* 눈가 비립종 제거 시술 전/후 사진입니다. (시술 2회)
* 동일인이며, 동일한 각도와 장소에서 촬영한 사진입니다.
* 상기 시술은 홍반, 부종, 염증 등 부작용이 발생할 수 있으므로 숙련된 의료진과 충분한 상담 후 시술을 권장합니다.
시술 전, 후 모습을 비교해보면?
전후를 직접 비교해보면 눈가 피부의 결 자체가 정돈된 느낌을 받으실 수 있을 겁니다.
아직 치료가 완전히 마무리 된 상태는 아니지만, 현 상태에서 몇 회만 추가적으로 시술하면 남아있는 부분까지 케어가 가능할 것으로 보입니다.
미세절연침 레이저를 활용한 비립종 제거의 특징
우리 병원에서는 비립종을 제거할 때 '미세절연침 레이저'를 적극적으로 활용합니다.

미세절연침은 아주 얇은 니들이 피부 속에 침투하여 고주파 에너지를 전달하는 방식입니다.
일반적인 레이저와 달리 피부 표면의 손상을 줄이면서 병변의 원인이 되는 부위만을 선택적으로 파괴할 수 있다는 장점이 있습니다.


위 모식도처럼 고주파 에너지가 과증식한 조직에 직접 작용하여 제거를 돕고, 동시에 피부 재생 반응을 유도합니다.
덕분에 흉터에 대한 부담을 덜면서도 효과적인 제거가 가능합니다.
자연스러운 결과를 원하는 분들에게 전하는 조언
마지막으로 제가 꼭 드리고 싶은 조언은 '셀프 압출'을 피하라는 것입니다.
병원을 찾는 많은 분이 이미 집에서 손으로 짜거나 바늘로 건드려 흉터나 자국이 남은 상태로 오시곤 합니다.
압출은 철저히 소독된 환경에서 숙련된 의료진의 노하우가 뒷받침되어야 합니다. 무분별하게 건드리면 오히려 염증이 생기거나 색소 침착으로 이어질 수 있습니다.
비립종 제거는 대중적인 시술이지만, 눈가라는 예민한 부위를 다루는 만큼 아래 3가지를 꼭 확인하시길 바랍니다.
첫째, 담당 의료진과 1:1 상담을 통해 정확한 병변을 진단받는가.
둘째, 피부 상태에 맞는 섬세한 디자인이 선행되는가.
셋째, 시술 후 경과 확인과 필요한 조치가 체계적인가.
생각보다 간단하게 해결할 수 있는 고민이니, 혼자 끙끙 앓기보다 숙련된 의료진을 통해 안정적으로 제거하여 매끄러운 눈가를 되찾으시길 바랍니다.
오늘 이야기는 여기까지입니다.
혹시라도, 궁금하신 부분은 댓글을 남겨주시면 제가 진료 후 답글 남기도록 하겠습니다.
지금까지 닥터도도(Dr.DoDo)였습니다.
감사합니다.
※ 닥터도도 블로그 공지사항 안내 ※ 1. 이 블로그의 포스팅과 댓글은 모두 제가 직접 작성하고 있습니다. 2. 댓글 문의는 진료 전·후로 시간이 될 때 답변을 드리고 있습니다. (문의가 많아 답변이 늦을 수 있는 점 양해 부탁드립니다.) 3. 비용 문의는 답변이 어렵습니다. (환자분마다 적합한 시술부터 제품, 용량 등이 다 다르다보니.. 진료 없이 정확한 안내를 드리기가 어렵고 잘못된 비용을 안내드리면 안되기에 블로그에서 비용 상담은 하지 않고 있습니다.) |
'기타시술' 카테고리의 다른 글
| 위고비 다이어트 주사 당신이 궁금해하는 모든 것(실명, 사망, 음주, 삭센다 차이 등) (0) | 2026.02.01 |
|---|---|
| 울퉁불퉁한 흉터 치료, 켈로이드 흉터로 오인했던 환자 후기(ft. 레이저 시술) (0) | 2026.01.28 |
| 수술 흉터 제거 시술, 앞트임 성형 후 생긴 하얀 흉터? (0) | 2025.12.10 |
| 레이저 토닝 1회, 10회 적정 시술 횟수는 정답이 없습니다.(ft. 피코토닝, 피코레이저) (0) | 2025.12.05 |
| 얼굴 흉살 치료, 울퉁불퉁한 코 흉터 때문에 내원했던 환자분의 이야기 (0) | 2025.11.09 |