2026. 1. 6. 23:55ㆍ성형수술/눈성형
안녕하세요 여러분의 피부·미용 주치의,
닥터도도(Dr. DoDo)입니다.
오늘은 눈꺼풀·눈두덩이 꺼짐을 눈썹거상술로 개선한 사례를 소개해드리려고 합니다.
눈가 주름, 눈밑 패임, 눈꺼풀 처짐처럼 눈 주변은 얼굴에서 노화의 영향을 가장 먼저 받는 부위입니다. 나이가 들수록 이런 변화들이 복합적으로 나타나게 되는데요.
특히 많은 분들이 가장 크게 체감하시는 문제가 바로 눈꺼풀 처짐·꺼짐입니다.
눈꺼풀이 처지면 인상이 나이 들어 보일 뿐 아니라, 쌍꺼풀 라인이 변형되거나 눈을 뜰 때 시야가 가려지는 등 기능적인 불편감까지 동반되는 경우가 적지 않은데요.
물론 20~30대 젊은 연령층에서도 눈꺼풀 처짐이 나타날 수 있지만, 이 시기에는 대체로 증상이 경미해 눈꺼풀 필러와 같은 비교적 간단한 시술로도 개선이 가능한 경우가 많습니다.
실제로 이전에 눈꺼풀 필러를 통해 겹쌍꺼풀을 개선한 사례를 소개해드린 적도 있지요.
다만, 눈꺼풀 처짐이 뚜렷하고 눈위 꺼짐이 함께 동반된 경우라면 필러 시술이 오히려 부담이 되거나 한계가 있을 수 있습니다. 이런 상황에서는 눈썹거상술, 그중에서도 가장 많이 시행되는 눈썹하거상술이 하나의 선택지가 될 수 있습니다.
이번 시간에는 실제 눈썹하거상술을 진행한 환자분의 사례를 통해, 어떤 경우에 이 수술이 도움이 되는지 자세히 보여드리겠습니다.
눈꺼풀 처짐이 심했던 중년 환자분의 후기

(*우리 병원 환자분의 동의를 받아 게재하는 사진입니다. 무단 도용 및 복제를 금합니다.)
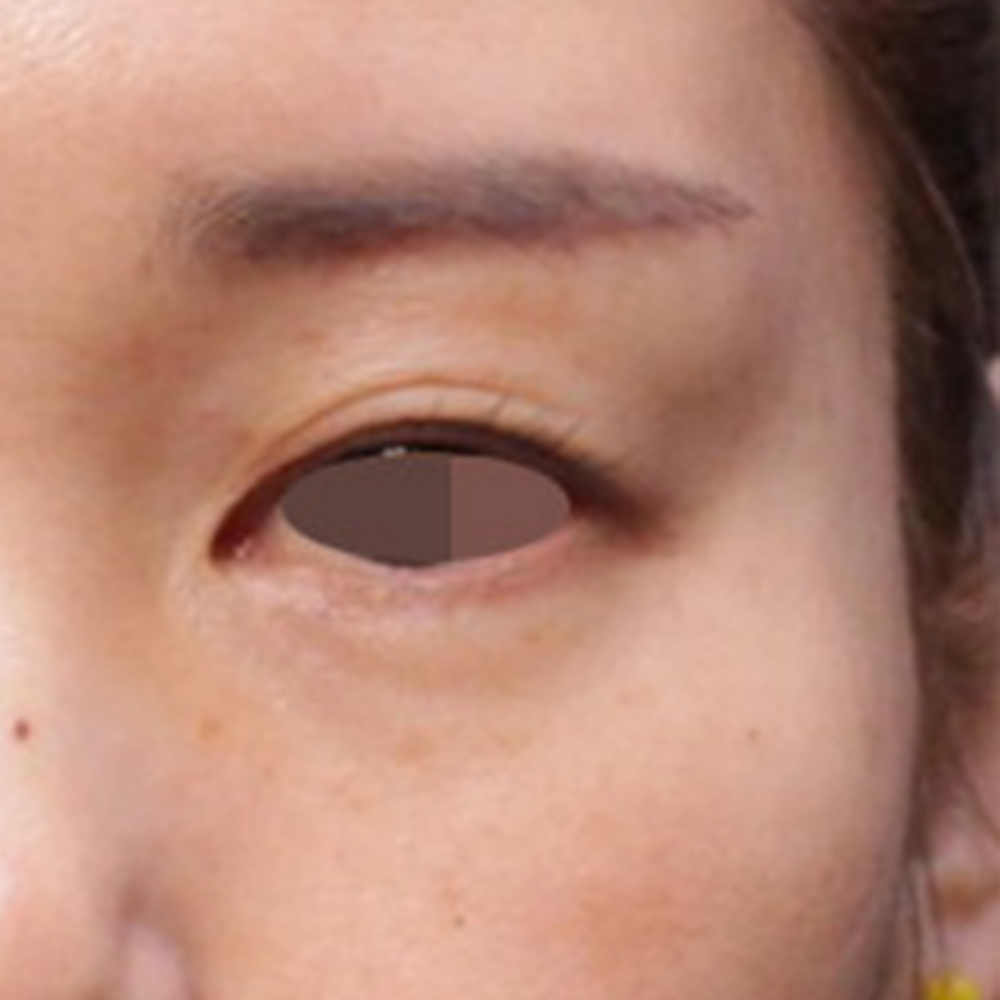
처진 눈꺼풀로 인해 내원하신
중년 여성 환자분의 사례입니다.
이 환자분의 경우, 크게 두 가지 문제를 동시에 개선해야 하는 상황이었습니다.
- 처진 눈꺼풀로 인해 변형된 눈매 라인
- 눈두덩이 꺼짐과 함께 나타난 눈꺼풀 주름
눈을 조금 더 자세히 보면, 눈의 윗 라인에 꺼짐과 주름이 동시에 존재하는 모습을 확인할 수 있습니다. 이런 형태의 눈위 꺼짐은 얼굴을 전반적으로 피곤하고 지쳐 보이게 만들고, 안와골이 도드라지면서 인상에도 영향을 주게 됩니다.
또한 눈꺼풀이 처지면서 시야가 좁아지고, 이를 보상하기 위해 이마 근육을 자주 사용하게 되면 이마 주름이 더 깊어지는 악순환이 반복되기도 합니다.

이처럼 이 환자분의 경우에는 단순히 미용적인 문제를 넘어서, 눈의 기능적·심미적 요소를 함께 고려한 접근이 필요했습니다. 저는 시술과 수술을 모두 다루는 입장에서, 충분한 상담과 분석을 거쳐 눈썹하거상술을 제안드리게 되었습니다.
눈썹하거상술이란, 눈썹 아래 피부를 절개한 뒤 불필요한 피부와 지방 조직을 정리하고, 처진 눈꺼풀을 위로 당겨 고정하는 수술을 말합니다.
다만 눈썹하거상술은 눈위 꺼짐이 지나치게 심한 분들께는 무조건적으로 권하지 않습니다. 경우에 따라서는 수술 후 오히려 꺼짐이 더 도드라질 수 있기 때문에, 수술 전 적합성 판단이 무엇보다 중요합니다.
눈썹하거상술 후기, 수술 후 모습

눈썹하거상술 수술 후 모습입니다.
수술 전 심하게 처져 있던 눈꺼풀 라인이 자연스럽게 올라가면서, 눈두덩이 꺼짐과 눈꺼풀 주름이 함께 완화된 모습을 확인할 수 있습니다. 전체적인 인상도 이전보다 훨씬 또렷하고 밝아진 느낌입니다.


* 눈썹하거상술 + 자가진피이식술 전/후 사진입니다.
* 동일인이며, 동일한 각도와 장소에서 촬영한 사진입니다.
* 상기 시술은 홍반, 부종, 염증 등 부작용이 발생할 수 있으므로 숙련된 의료진과 충분한 상담 후 시술을 권장합니다.
수술 전과 후를 나란히 비교해보면 변화는 더 분명합니다.
- 처진 눈꺼풀로 흐려졌던 쌍꺼풀 라인
- 눈과 눈썹 사이 깊게 패여 보이던 주름
- 전반적으로 답답해 보이던 눈매 라인
이 세 가지 요소가 눈에 띄게 개선된 것을 확인할 수 있습니다.


사진으로는 다 담기지 않지만, 처진 눈꺼풀 때문에 눈을 뜨기 불편했던 기능적인 문제 역시 함께 개선되었습니다.
눈썹하거상술, 수술 후 결과만큼 중요한 것

눈썹하거상술은 눈의 기능과 인상을 동시에 개선할 수 있는 좋은 수술이지만, 결과만큼이나 중요한 요소가 하나 더 있습니다. 바로 수술 후 흉터입니다.
아무리 결과가 좋아도, 수술 흉터가 도드라지게 남는다면 그 자체로 또 다른 스트레스가 될 수 있습니다. 그래서 저는 눈썹하거상술을 진행할 때, 흉터에 대한 부분을 매우 중요하게 고려합니다.
구체적인 노하우를 모두 공개하기는 어렵지만, 기본적인 원칙은 다음과 같습니다.
- 눈썹 라인을 따라 최소 절개로 접근
- 불필요하게 넓은 박리를 피하고 필요한 범위만 정교하게 박리
- 늘어진 피부와 지방을 과하지 않게 정리
- 눈썹 아래 근육을 골막에 안정적으로 고정
- 수술 후 실밥 제거와 흉터 관리까지 철저한 사후 관리
이러한 과정 하나하나가 수술 만족도와 직결되기 때문에, 눈썹하거상술을 고려하고 계시다면 흉터 관리까지 함께 계획하는 병원과 의료진을 찾는 것이 중요합니다.
이번 포스팅에서는 눈꺼풀·눈두덩이 꺼짐을 눈썹하거상술로 개선한 실제 사례와 함께, 제가 중요하게 생각하는 포인트들을 정리해드렸습니다.
눈썹거상술은 눈위 꺼짐의 정도, 눈꺼풀 처짐의 양상, 환자분의 눈 구조에 따라 시술이 더 적합한지, 수술이 필요한지 판단이 달라질 수 있습니다.
이런 세부적인 요소들을 충분히 고려하고, 수술 후 관리까지 체계적으로 이루어지는 곳에서 진행하신다면 보다 만족스러운 결과를 기대해보실 수 있을 것입니다.
오늘 이야기는 여기까지입니다.
혹시라도, 궁금하신 부분은 댓글을 남겨주시면 제가 진료 후 답글 남기도록 하겠습니다.
지금까지 닥터도도(Dr.DoDo)였습니다.
감사합니다.
※ 닥터도도 블로그 공지사항 안내 ※ 1. 이 블로그의 포스팅과 댓글은 모두 제가 직접 작성하고 있습니다. 2. 댓글 문의는 진료 전·후로 시간이 될 때 답변을 드리고 있습니다. (문의가 많아 답변이 늦을 수 있는 점 양해 부탁드립니다.) 3. 비용 문의는 답변이 어렵습니다. (환자분마다 적합한 시술부터 제품, 용량 등이 다 다르다보니.. 진료 없이 정확한 안내를 드리기가 어렵고 잘못된 비용을 안내드리면 안되기에 블로그에서 비용 상담은 하지 않고 있습니다.) |
'성형수술 > 눈성형' 카테고리의 다른 글
| 눈꺼풀 꺼짐 + 처짐 개선, 수술이 필요했던 여성 환자 후기(ft. 눈썹거상술, 자가진피이식술) (0) | 2025.12.17 |
|---|---|
| 눈썹거상술 후기, 눈썹과 눈 사이 거리가 너무 멀었던 60대 환자 (0) | 2025.12.01 |
| 눈썹거상술 후기, 지방제거 수술까지 병행했던 50대 여성 환자 (0) | 2025.10.29 |
| 앞트임 흉터 제거, 수술 후 생긴 하얀색 흉터 치료할 수 있을까? (0) | 2025.02.05 |
| 눈밑지방재배치 수술 + 필러 복합 시술까지 필요했던 환자분 이야기 (0) | 2025.01.08 |