2025. 10. 29. 23:38ㆍ성형수술/눈성형
안녕하세요 여러분의 피부·미용 주치의,
닥터도도(Dr. DoDo)입니다.
오늘은 눈썹하거상술과 상안검 지방제거를 병행한 중년 환자분의 사례를 소개해드리려 합니다.
제가 블로그에서 주로 시술 이야기를 다루긴 하지만, 실제로는 수술 케이스도 상당히 많습니다.(사실 잘 모르시는 분들도 많지만, 저는 외과 전문의입니다. 하하.)
눈밑 다크서클제거, 수술이 필요한 케이스?(ft. 눈밑지방재배치)
안녕하세요 여러분의 피부·미용 주치의,닥터도도(Dr. DoDo)입니다. 이미 아시는 분들도 있겠지만, 저는 눈주변부의 다양한 시술과 수술을 모두 하는 의사입니다. 특히, 여러 눈시술, 눈성형
n1k.kr
< 다크서클 필러 + 눈밑지방재배치 수술 복합 사례 >
시술과 수술을 함께 진행하는 경우도 많고, 환자분의 상태에 따라 두 가지를 복합적으로 병행하기도 하는데요.
오늘 소개드릴 사례는 ‘눈꺼풀 처짐과 지방 돌출이 함께 있는 중년 환자분’의 이야기입니다.
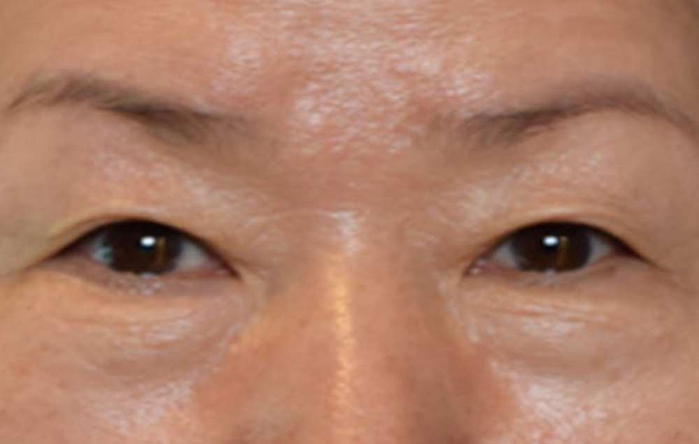
안검하수 증상이 심했던 중년 여성 환자분

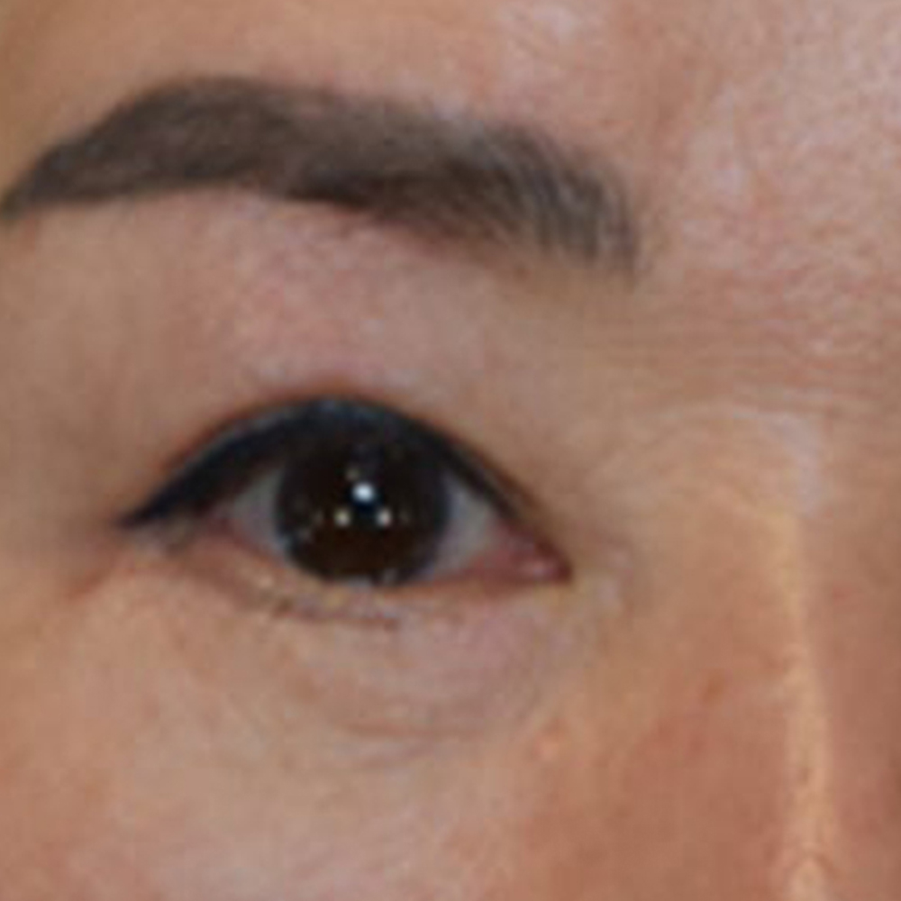
(*우리 병원 환자분의 동의를 받아 게재하는 사진입니다. 무단 도용 및 복제를 금합니다.)
내원 당시 환자분의 사진입니다.
환자분은 50대 중반 여성으로, 눈꺼풀 피부가 아래로 처지고 눈썹 위치까지 내려와 시야가 답답하고 눈이 무겁다는 불편감을 호소하셨습니다.
또한, 눈꺼풀 안쪽 지방이 돌출되어 눈이 부어 보이는 인상을 주고 있었고, 쌍꺼풀 라인은 거의 사라진 상태였습니다.
이러한 복합적인 문제는 단순한 절개만으로는 해결이 어렵기 때문에, 눈썹하거상술과 상안검 지방제거를 함께 진행하기로 계획했습니다.
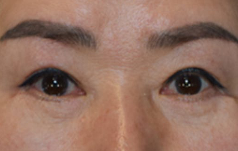
눈썹거상술 + 지방제거 복합 수술 후 변화

눈썹거상술 + 지방제거
복합 수술 후 모습입니다.
이번 수술은 두 가지 과정을 병행했습니다.
눈썹하거상술(Brow Subcision Lift)
= 눈썹 바로 아래를 따라 절개한 뒤, 처진 상안검 피부를 위쪽으로 당겨 고정합니다.
이 과정에서 눈꺼풀의 무게감이 줄고, 시야가 훨씬 넓어지는데요. 쌍꺼풀 라인은 그대로 유지하면서 눈의 인상은 자연스럽게 개선되는 것이 장점이지요.
상안검 지방제거
= 돌출된 안와 지방을 정리해 눈꺼풀 두께를 줄이고, 눈이 부어 보이는 인상을 완화시켰습니다.
수술 직후에는 약간의 부기와 홍반이 있었지만, 2주차 실밥 제거 이후 빠르게 안정화되었고 1개월 경과 시점에는 눈매가 한결 또렷하고 자연스러워졌습니다.




* 눈썹거상술 + 지방제거 수술 전/후 사진입니다.
* 동일인이며, 동일한 각도와 장소에서 촬영한 사진입니다.
* 상기 수술은 홍반, 부종, 염증 등 부작용이 발생할 수 있으므로 숙련된 의료진과 충분한 상담 후 시술을 권장합니다.
수술 전·후를 같이 보면?
수술 전에는 눈꺼풀과 눈썹이 동시에 처져 시야가 좁고, 피곤하고 나이 들어 보이는 인상이 강했습니다.
또한 지방 돌출로 눈이 부어 보이고, 쌍꺼풀 라인이 거의 사라져 있었죠.
반면 수술 후에는 눈썹 라인이 자연스럽게 리프팅되면서 눈꺼풀이 가벼워졌고, 과도하게 튀어나왔던 지방이 정리되면서 훨씬 시원하고 깔끔한 눈매로 개선되었습니다.
특히 절개 부위가 눈썹 바로 아래에 위치하기 때문에 흉터는 시간이 지나면 거의 눈에 띄지 않고, 눈썹의 음영에 자연스럽게 가려지는 점도 장점입니다.
중년 눈성형의 목적은 ‘젊어짐’이 아닌 ‘회복’입니다.
사실 중년 눈성형에서 가장 중요한 건 '어떤 문제가 있느냐?'입니다.
피부 자체의 처짐이 심하다면 → 피부 절제(상안검수술)
눈썹이 아래로 내려온 경우 → 눈썹하거상술
지방 돌출로 눈이 부어 보이는 경우 → 지방제거
근육 기능이 약한 경우 → 안검거근 강화술
원인에 따라 수술 접근법이 달라지기 때문인데요. 오늘처럼 복합적인 처짐이 동반된 경우에는 두 가지 이상 수술을 병행해야
보다 자연스럽고 장기적으로 안정적인 결과를 얻을 수 있지요.
결국 중요한 건 “어떤 수술이 좋을까?”가 아니라 “지금 내 눈에는 어떤 수술이 필요한가?”라는 점.
오늘은 눈썹하거상술과 지방제거를 병행하여 기능적·심미적 개선을 이룬 중년 환자 케이스를 소개해드렸습니다.
이 시술의 핵심은 단순히 젊어 보이게 만드는 것이 아니라, 무겁고 피곤했던 눈의 기능을 회복하면서 동시에 자연스러운 인상을 되찾는 것에 있습니다.
눈 성형은 작은 변화로도 인상이 크게 달라지는 만큼, 경험이 풍부한 의료진과 충분히 상담한 뒤 계획적으로 결정하는 것이 중요합니다.
오늘 이야기는 여기까지입니다.
혹시라도, 궁금하신 부분은 댓글을 남겨주시면 제가 진료 후 답글 남기도록 하겠습니다.
지금까지 닥터도도(Dr.DoDo)였습니다.
감사합니다.
※ 닥터도도 블로그 공지사항 안내 ※ 1. 이 블로그의 포스팅과 댓글은 모두 제가 직접 작성하고 있습니다. 2. 댓글 문의는 진료 전·후로 시간이 될 때 답변을 드리고 있습니다. (문의가 많아 답변이 늦을 수 있는 점 양해 부탁드립니다.) 3. 비용 문의는 답변이 어렵습니다. (환자분마다 적합한 시술부터 제품, 용량 등이 다 다르다보니.. 진료 없이 정확한 안내를 드리기가 어렵고 잘못된 비용을 안내드리면 안되기에 블로그에서 비용 상담은 하지 않고 있습니다.) |
'성형수술 > 눈성형' 카테고리의 다른 글
| 눈썹거상술 후기, 눈썹과 눈 사이 거리가 너무 멀었던 60대 환자 (0) | 2025.12.01 |
|---|---|
| 앞트임 흉터 제거, 수술 후 생긴 하얀색 흉터 치료할 수 있을까? (0) | 2025.02.05 |
| 눈밑지방재배치 수술 + 필러 복합 시술까지 필요했던 환자분 이야기 (0) | 2025.01.08 |
| 눈썹하거상술 후기, 처진 눈꺼풀 때문에 수술이 필요했던 사례 (0) | 2024.02.25 |
| 안검하수(눈꺼풀 처짐)를 눈썹거상술로 개선한 사례를 보여드립니다. (0) | 2023.06.30 |