안녕하세요 여러분의 피부·미용 주치의,
닥터도도(Dr. DoDo)입니다.
눈가 변화는 얼굴 인상에 생각보다 큰 영향을 줍니다.
특히 눈 위가 꺼져 보이는 눈꺼풀 꺼짐은 실제 나이보다 더 피곤하고 나이 들어 보이는 인상을 만들기 쉬운데요. 화장을 해도 그늘진 느낌이 남거나, 쌍꺼풀이 갑자기 여러 겹으로 잡히는 변화 때문에 불편함을 느끼고 내원하시는 분들도 적지 않습니다.
눈꺼풀 꺼짐은 단순히 미용적인 문제로만 보이기보다는, 개인의 피부 상태와 노화 진행 정도에 따라 접근 방법이 달라져야 하는 영역입니다. 오늘은 실제 눈꺼풀 꺼짐으로 내원하신 환자분의 사례를 통해, 눈꺼풀 필러를 어떻게 적용했는지 자세히 말씀드려보겠습니다.
눈꺼풀 꺼짐, 시술? 수술? 선택의 기준
눈꺼풀 꺼짐을 개선하는 방법은 크게 시술적인 접근과 수술적인 접근으로 나눌 수 있습니다.
어떤 방법이 더 적합한지는 꺼짐의 깊이와 범위, 피부 두께, 눈뜨는 힘, 그리고 기존 쌍꺼풀 상태 등을 종합적으로 고려해 판단하게 됩니다.
꺼짐이 국소적이고 피부 탄력이 어느 정도 유지된 경우에는 필러 시술을 통해 비교적 부담 없이 볼륨을 보완해볼 수 있습니다. 반면 꺼짐이 매우 깊거나, 피부 처짐이 함께 동반된 경우에는 수술적 접근이 더 적합한 상황도 있습니다.
중요한 점은 “무조건 시술” 혹은 “무조건 수술”이 아니라, 현재 눈꺼풀 상태에 맞는 방법을 선택하는 것입니다.
눈꺼풀은 피부가 매우 얇고 움직임이 많은 부위이기 때문에, 과한 교정보다는 자연스러운 회복을 목표로 접근하는 것이 필요합니다.
눈꺼풀 꺼짐 필러 사례 소개

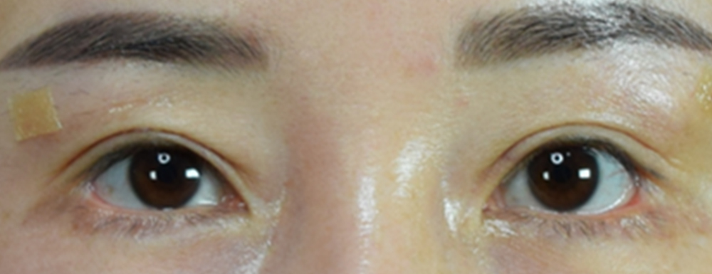
(*우리 병원 환자분의 동의를 받아 게재하는 사진입니다. 무단 도용 및 복제를 금합니다.)
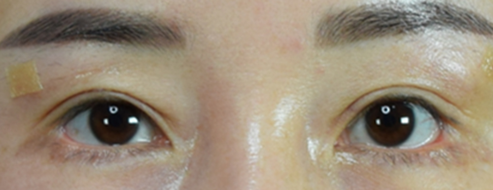
내원 당시 환자분의 사진입니다.
이번에 소개해드릴 환자분은 눈 위가 전체적으로 움푹 꺼지면서, 쌍꺼풀이 불안정하게 잡히고 눈이 들어가 보이는 인상으로 내원하셨습니다.
특히 눈을 뜰 때 눈꺼풀이 접히는 지점 위쪽이 비어 보이면서, 그림자가 생기듯 어두워 보이는 것이 가장 큰 고민이었습니다.
단순히 피곤해 보이는 정도를 넘어, 인상이 달라 보인다는 점 때문에 스트레스를 받고 계신 상태였지요.
진료 결과, 꺼짐의 깊이가 과하지 않고 피부 상태도 비교적 안정적이었기 때문에 수술보다는 눈꺼풀 필러를 통해 볼륨을 보완하는 방향으로 계획을 세웠습니다.
눈꺼풀 필러 시술 후 결과는?

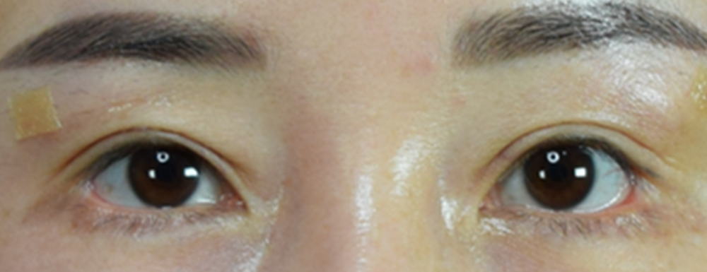
눈꺼풀 필러 시술 후
환자분의 사진입니다.
눈꺼풀 필러 시술은 즉각적인 볼륨 변화가 나타나지만, 시술 직후에는 붓기나 미세한 부종으로 인해 실제 결과보다 다소 과해 보일 수 있습니다.
이번 환자분 역시 시술 직후에는 약간의 부기가 있었으나, 시간이 지나면서 점차 자연스럽게 자리 잡았습니다.
눈을 떴을 때 눈 위가 꺼져 보이던 부분이 완만하게 채워지면서, 인상이 한결 부드러워진 것이 가장 큰 변화였습니다.
쌍꺼풀 라인도 이전보다 안정적으로 유지되며, 눈 뜨는 느낌이 편해졌다고 말씀해주셨습니다.
눈꺼풀 필러 시술 전, 후 비교


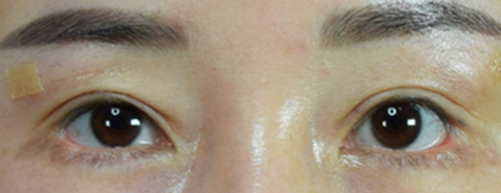
* 눈꺼풀 꺼짐 필러 시술 전/후 사진입니다. (시술 당일)
* 동일인이며, 동일한 각도와 장소에서 촬영한 사진입니다.
* 상기 시술은 홍반, 부종, 염증 등 부작용이 발생할 수 있으므로 숙련된 의료진과 충분한 상담 후 시술을 권장합니다.
눈꺼풀 필러 시술 전, 후
사진을 비교해보면?
시술 전에는 눈꺼풀 위쪽이 움푹 들어가 보이며 음영이 강하게 형성돼 있던 상태였습니다. 그로 인해 눈매가 날카롭고 피곤해 보이는 인상이 강조돼 있었지요.
시술 후에는 눈 위 볼륨이 자연스럽게 보완되면서 음영이 완화되고, 눈매 전체가 보다 또렷하고 안정된 느낌으로 변화했습니다.


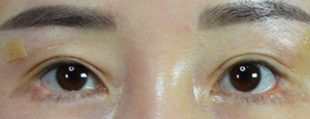
사진을 확대해서 확인해보면?
과하게 튀어나오지 않으면서도, 꺼짐으로 인한 인상 변화가 줄어든 것이 확인됩니다.
눈꺼풀 필러의 핵심은 ‘얼마나 많이 채우느냐’가 아니라, 눈 뜨는 움직임을 방해하지 않으면서 필요한 만큼만 보완하는 데 있습니다.
눈꺼풀 꺼짐은 작은 변화처럼 보일 수 있지만, 얼굴 인상에 미치는 영향은 결코 작지 않습니다.
다만 눈꺼풀은 예민한 부위인 만큼, 본인의 상태에 맞는 방법을 선택하는 것이 무엇보다 중요합니다.
눈꺼풀 필러는 적절한 대상에게 적용했을 때 비교적 부담 없이 인상 개선을 기대해볼 수 있는 방법이지만, 모든 경우에 해당되는 것은 아닙니다. 충분한 진료를 통해 시술이 적합한지, 혹은 다른 접근이 필요한지를 먼저 확인하는 과정이 필요합니다.
눈꺼풀 꺼짐으로 고민하고 계시다면, 섣불리 방법을 결정하기보다는 현재 눈 상태에 대한 정확한 상담부터 받아보시길 권해드립니다.
오늘 이야기는 여기까지입니다.
혹시라도, 궁금하신 부분은 댓글을 남겨주시면 제가 진료 후 답글 남기도록 하겠습니다.
지금까지 닥터도도(Dr.DoDo)였습니다.
감사합니다.
※ 닥터도도 블로그 공지사항 안내 ※ 1. 이 블로그의 포스팅과 댓글은 모두 제가 직접 작성하고 있습니다. 2. 댓글 문의는 진료 전·후로 시간이 될 때 답변을 드리고 있습니다. (문의가 많아 답변이 늦을 수 있는 점 양해 부탁드립니다.) 3. 비용 문의는 답변이 어렵습니다. (환자분마다 적합한 시술부터 제품, 용량 등이 다 다르다보니.. 진료 없이 정확한 안내를 드리기가 어렵고 잘못된 비용을 안내드리면 안되기에 블로그에서 비용 상담은 하지 않고 있습니다.) |
'필러' 카테고리의 다른 글
| 앞광대 필러, 광대 꺼짐을 시술로 커버할 수 있을까?(ft. 전후 사진) (0) | 2026.01.05 |
|---|---|
| 귀필러 시술을 활용해 누운귀를 교정했던 케이스 소개(ft. 작은 귀) (0) | 2026.01.05 |
| 두겹 쌍꺼풀 교정, 수술 대신 필러 시술로 개선이 될까?(ft. 전후 사진) (0) | 2025.12.08 |
| 오다리 교정 수술 대신 필러 하나만으로도 개선할 수 있다?(ft. 시술 전후) (0) | 2025.12.02 |
| 누운 귀 필러 후기, 용량, 가격 등 이 글 하나로 정리합니다. (0) | 2025.11.21 |
