2025. 3. 29. 23:22ㆍ필러
안녕하세요 여러분의 피부·미용 주치의,
닥터도도(Dr. DoDo)입니다.
제가 그동안 필러 시술을 활용해서 눈주변부 문제를 개선했던 다양한 케이스를 자세하게 소개드렸었는데요.
눈꺼풀 필러 시술을 활용한 두겹 쌍꺼풀 개선 케이스(ft. 눈꺼풀 꺼짐)
안녕하세요 여러분의 피부·미용 주치의,닥터도도(Dr. DoDo)입니다. 오늘 주제는 "눈꺼풀 필러를 활용한 두겹 쌍꺼풀 개선"을 주제로 이야기를 해보도록 하겠습니다. 나이가 들면서 눈꺼풀이
naturbeauty.tistory.com
< 눈꺼풀필러 시술 Case >
다크서클 필러 전후, 적합한 케이스가 따로 있다?
안녕하세요 이지동안 강남본점 원장,닥터도도 도재운입니다. 제가 일전에 다크서클 필러 부작용에 관한 주제로 글을 적었던 적이 있는데요. 눈밑 다크서클 필러, 시술 후 나타나는 부작용
naturbeauty.tistory.com
< 다크서클필러 시술 Case >
눈주변부에 발생되는 문제들은 다양한데, 그 중에서도 '눈꺼풀꺼짐, 꺼진눈'으로 고생하는 분들이 상당히 많습니다.
그리고, 이런 문제들은 대부분 눈성형(상안검, 지방이식, 지방재배치, 눈썹거상술 등)을 필요로 하는 경우가 많은데요.
허나, 이런 문제를 꼭 수술로만 개선해야 하는 것은 아닙니다.
케이스에 따라, 꼭 수술이 아니어도 비교적 간단한 필러 시술로 개선할 수 있는데요.
과연 어떤 시술인지, 제가 자세하게 알려드릴게요.
눈꺼풀꺼짐, 꺼진눈의 원인?

우선, 눈꺼풀이 꺼지는 이유에 대해서 알아야겠죠.
우리 눈꺼풀 조직을 보면, 루프 지방(ROOF, Retro-Orbicularis Oculus Fat)이라는 지방층이 존재하는데요.
이런 지방층이 나이가 들면서 노화로 인해 소실되면, 눈꺼풀을 지탱하던 힘이 사라지면서 눈꺼풀이 움푹 꺼지는 상황이 발생한답니다.
그래서, 눈꺼풀꺼짐을 개선하는 수술이나 시술은 소실된 루프 지방을 대체해주는 목적으로 진행되는 거고요.
조금 이해가 되시겠지요?
사실 이렇게 어려운 의학 용어보다는 실제 사진을 보면, 조금 더 이해가 쉬우실 겁니다.
바로 한 번 보여드릴게요.
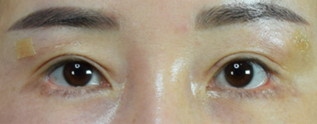
눈꺼풀꺼짐, 꺼진눈 개선이 필요했던 환자분

(*우리 병원 환자분의 동의를 받아 게재하는 사진입니다. 무단 도용 및 복제를 금합니다.)
내원 당시 환자분의 사진입니다.
30대 여성 환자분이신데, 사진을 보면 양쪽 눈꺼풀 라인이 움푹 패인 모습을 확인하실 수 있는데요.
심각한 상태는 아니지만, 눈꺼풀 꺼짐의 경우 시간이 지날수록 점점 더 악화되기 때문에 결코 가볍게 넘길만한 문제는 아닙니다.

사진을 확대해서 보면?
쌍꺼풀이 있지만, 눈꺼풀 부분이 움푹 꺼지면서 눈매 라인도 또렷하지 쌍꺼풀 라인도 약간 두툼해보이는 느낌이 있죠.
자, 그럼 실제 시술 후 모습을 한 번 볼까요?
눈꺼풀꺼짐, 꺼진눈 필러 시술 후 변화는?

눈꺼풀꺼짐 필러
시술 후 모습입니다.
시술 후 사진을 보면, 꺼진 눈꺼풀이 자연스럽게 차오르면서 전체적인 눈매 라인이 한층 부드러워진 모습이지요?

마찬가지로, 사진을 확대해보면?
훨씬 더 또렷해진 눈매 라인 그리고 눈꺼풀 라인이 살아나면서 동안스러워 보이는 느낌도 있습니다.




* 눈꺼풀필러 시술 전/후 사진입니다. (시술 당일)
* 동일인이며, 동일한 각도와 장소에서 촬영한 사진입니다.
* 상기 시술은 홍반, 부종, 염증 등 부작용이 발생할 수 있으므로 숙련된 의료진과 충분한 상담 후 시술을 권장합니다.
눈꺼풀꺼짐 필러 시술 전·후 모습입니다.
시술 전과 비교해보면, 차이를 조금 더 명확하게 비교해볼 수 있지요?
이처럼, 꼭 수술이 아니어도 비교적 간단한 필러 시술로 눈꺼풀꺼짐·꺼진눈을 개선해볼 수 있는데요.
다만, 한 가지 주의할 부분이 있습니다.
눈꺼풀꺼짐, 꺼진눈 필러 적합한 대상이 있다?
눈꺼풀꺼짐, 꺼진눈을 필러로 개선할 수 있지만, 모든 케이스에 적합한 시술이라고 말씀드리긴 어렵습니다.
적응증(indication)에 따라 적합한 케이스가 크게 달라지기 때문에 '나도 필러나 한 번 받아볼까?'라고 생각하고 있다면, 그 전에 나에게 해당 시술이 적합한지 유무를 따져봐야 합니다.
- 눈꺼풀 꺼짐 정도가 심하지 않은 경우
- 피부 처짐과 같은 문제가 복합되지 않은 경우
- 눈의 기능적인 문제가 동반되지 않은 경우
(눈꺼풀이 무거워 눈을 뜨기 어려움 등)
실제로, 훨씬 더 다양한 부분들을 체크해야겠지만 보통 위와 같은 케이스에 해당되는 경우에 눈꺼풀 필러를 권해드릴 수 있을 것 같네요.
오늘은 이렇게 눈꺼풀 꺼짐, 꺼진눈 문제를 필러로 개선한 케이스를 자세하게 소개해드렸는데요.
눈꺼풀 꺼짐의 경우 환자분들마다 증상의 정도, 처짐 동반 유무, 피부 상태, 연령대 등 다양한 변수에 따라서 적합한 개선 방법이 크게 달라집니다.
환자분들은 이 점을 꼭 기억하시고, 가급적 눈주변 시술/수술 등이 모두 가능한 숙련된 의료진을 찾아 충분한 상담 후 현명한 선택을 내리셨으면 좋겠습니다.
오늘 이야기는 여기까지입니다.
혹, 궁금하신 부분은 댓글을 남겨주시면 제가 진료 후 답글 남기도록 하겠습니다.
지금까지 닥터도도(Dr.DoDo)였습니다.
감사합니다.
※ 닥터도도 블로그 공지사항 안내 ※ 1. 이 블로그의 포스팅과 댓글은 모두 제가 직접 작성하고 있습니다. 2. 댓글 문의는 진료 전·후로 시간이 될 때 답변을 드리고 있습니다. (문의가 많아 답변이 늦을 수 있는 점 양해 부탁드립니다.) 3. 비용 문의는 답변이 어렵습니다. (환자분마다 적합한 시술부터 제품, 용량 등이 다 다르다보니.. 진료 없이 정확한 안내를 드리기가 어렵고 잘못된 비용을 안내드리면 안되기에 블로그에서 비용 상담은 하지 않고 있습니다.) |
'필러' 카테고리의 다른 글
| 눈밑꺼짐 필러? 콜라겐주사? 선택의 기준에 대하여 (0) | 2025.04.17 |
|---|---|
| 눈밑필러 시술 후 다크서클이 생겼다?(ft. 전후 사진) (0) | 2025.04.11 |
| 미간주름제거 - 필러 1cc 시술로도 가능하다?(ft. 미간보톡스) (0) | 2025.03.26 |
| 눈밑 애교필러 전후, 자연스러운 변화를 원한다면?test (0) | 2025.03.13 |
| 눈꺼풀 필러 시술을 활용한 두겹 쌍꺼풀 개선 케이스(ft. 눈꺼풀 꺼짐) (0) | 2025.03.06 |