2025. 3. 6. 20:30ㆍ필러
안녕하세요 여러분의 피부·미용 주치의,
닥터도도(Dr. DoDo)입니다.
오늘 주제는 "눈꺼풀 필러를 활용한 두겹 쌍꺼풀 개선"을 주제로 이야기를 해보도록 하겠습니다.
나이가 들면서 눈꺼풀이 점점 꺼지면서, 쌍꺼풀이 풀리거나 두겹·세겹으로 겹치는 문제가 생기는 경우가 있습니다.

이렇게 말이죠.
이런 문제가 생기면 "쌍꺼풀이 풀렸나?" 라고 생각하시고, 병원을 찾아 재수술 상담을 받는 분들도 적지 않은데요.
수술적으로 개선하는 방법도 있지만, 수술이 아닌 간단한 필러 시술을 활용하는 방법도 있습니다.
오늘 실제로 눈꺼풀필러를 활용해 두겹 쌍꺼풀을 개선했던 케이스를 보여드리도록 할게요.
바로 시작해볼게요.
눈꺼풀 꺼짐으로 인해 두겹 쌍꺼풀이 된 케이스

*우리 병원 환자분의 동의를 받아 게재하는 사진입니다. 무단 도용 및 복제를 금합니다.
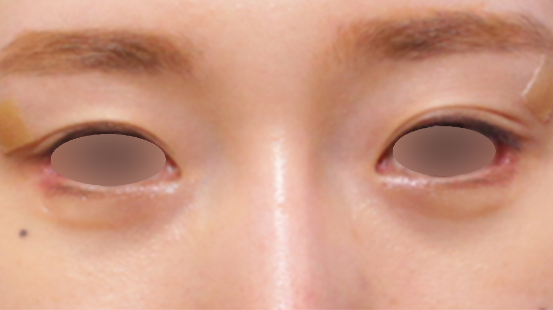
내원 당시 환자분의 사진입니다.
사진을 보면, 양쪽 눈꺼풀이 꺼지면서 쌍꺼풀 라인이 말려 올라가 두겹 쌍꺼풀이 된 상태인데요.
두겹 쌍꺼풀이 된 부분을 조금 더 확대해볼게요.

왼쪽 눈

오른쪽 눈
양쪽 눈을 확대해서 보면, 두겹이 된 쌍꺼풀 라인이 명확하게 보이지 않나요?
쌍꺼풀이 두겹이 되는 원인은 다양하고, 어떤 원인으로 발생했는지에 따라 개선 방법도 달라지는데요.
대부분 수술적인 방법(쌍꺼풀 수술, 상안검 수술, 눈썹거상술, 눈매교정술 등)을 통해 개선하는 경우가 많습니다.
문제는 수술의 경우, 수술 후 회복이나 통증 등에 대한 부담이 크기 때문에 이를 망설이는 분들이 생각보다 많은데요. 이런 경우에 시도해볼 수 있는 방법이 바로 '눈꺼풀 필러'입니다.
꺼진 눈꺼풀 부위를 히알루론산(HA) 계통의 필러를 사용해 채워주어 자연스럽게 두겹 쌍꺼풀을 개선하면서 눈 주변의 입체감도 개선해볼 수 있지요.
한 번 시술 후 모습을 보여드릴게요.
눈꺼풀필러 시술 후 두겹 쌍꺼풀의 변화?

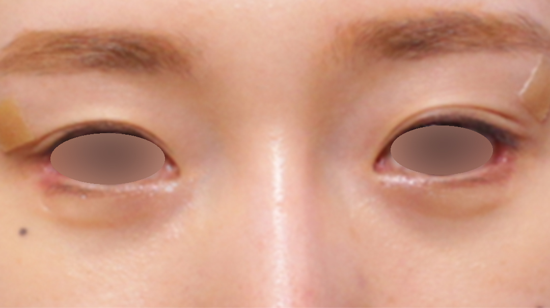
눈꺼풀필러 시술 직후 모습입니다.
시술 전에는 눈꺼풀도 약간 꺼진 상태였고, 쌍꺼풀 라인도 두겹으로 늘어난 상태였는데, 필러 시술을 통해 두겹 쌍꺼풀도 자연스럽게 개선되었고 눈꺼풀 꺼짐도 상당 부분 개선된 것을 볼 수 있습니다.

왼쪽 눈

오른쪽 눈
사진을 확대해서 보면, 눈꺼풀의 꺼짐 정도와 쌍꺼풀 라인의 변화를 조금 더 명확하게 비교해볼 수 있지요?




* 눈꺼풀필러 시술 전/직후 사진입니다. (시술 당일)
* 동일인이며, 동일한 각도와 장소에서 촬영한 사진입니다.
* 상기 시술은 홍반, 부종, 염증 등 부작용이 발생할 수 있으므로 숙련된 의료진과 충분한 상담 후 시술을 권장합니다.
시술 전과 비교해보면?
두겹 쌍꺼풀이 정상적인 한 겹 쌍꺼풀로 돌아오고, 전체적인 눈매 라인도 훨씬 자연스러워진 모습을 비교해볼 수 있습니다.
눈꺼풀필러의 경우 시술 직후에도 효과를 기대할 수 있고, 다운타임이 매우 적어 시술 후 일상생활에도 큰 지장이 없다는 장점을 가지고 있는데요.
다만, 모든 눈꺼풀꺼짐/두겹쌍꺼풀 등의 문제를 필러로 개선할 수 있는 건 아닙니다.
개개인마다 다른 눈꺼풀 꺼짐 정도, 두겹 쌍꺼풀의 원인, 피부 상태 등 여러 변수를 고려해 신중하게 결정해야하는 시술이라는 점 꼭 기억하시면 좋을 것 같네요.
눈꺼풀필러 단점은 없을까?
앞서 설명드린 것처럼 눈꺼풀 꺼짐이 너무 심하거나 두겹 쌍꺼풀의 원인에 따라서 적응증(indication)이 달라질 수 있다는 점도 단점으로 볼 수 있고.
이외에도 한 가지 아쉬운 점이 있다면,
바로 '시술 유지기간'입니다.
눈꺼풀필러는 HA 기반의 필러를 사용하기 때문에 아무리 길어도 유지기간을 1년 정도를 넘기가 어렵습니다.
그래서 효과를 유지하기 위해선 반복 시술이 필요하고요.
만약 유지기간에 대해 중요하게 생각한다면, 필러보다 수술적인 방법이 조금 더 적합할 수도 있습니다.
이번 시간에는 눈꺼풀필러를 활용해 두겹 쌍꺼풀을 개선한 케이스를 소개해드렸는데요.
쌍꺼풀이 두겹, 세겹이 되어 고민하고 계신 분들이라면, 오늘 이야기가 큰 도움이 되지 않았을까 싶네요.
오늘 이야기는 여기까지입니다.
혹시라도, 궁금하신 부분은 댓글을 남겨주시면 제가 진료 후 답글 남기도록 하겠습니다.
지금까지 닥터도도(Dr.DoDo)였습니다.
감사합니다.
※ 닥터도도 블로그 공지사항 안내 ※ 1. 이 블로그의 포스팅과 댓글은 모두 제가 직접 작성하고 있습니다. 2. 댓글 문의는 진료 전·후로 시간이 될 때 답변을 드리고 있습니다. (문의가 많아 답변이 늦을 수 있는 점 양해 부탁드립니다.) 3. 비용 문의는 답변이 어렵습니다. (환자분마다 적합한 시술부터 제품, 용량 등이 다 다르다보니.. 진료 없이 정확한 안내를 드리기가 어렵고 잘못된 비용을 안내드리면 안되기에 블로그에서 비용 상담은 하지 않고 있습니다.) |
'필러' 카테고리의 다른 글
| 미간주름제거 - 필러 1cc 시술로도 가능하다?(ft. 미간보톡스) (0) | 2025.03.26 |
|---|---|
| 눈밑 애교필러 전후, 자연스러운 변화를 원한다면?test (0) | 2025.03.13 |
| 얼굴 볼꺼짐 필러 대신 콜라겐 주사를 활용한 케이스(ft. 필러 부작용) (0) | 2025.02.24 |
| 납작한 얼굴 개선하는 시술 - 이마필러 + 코필러 복합 시술을 활용한 케이스 (0) | 2025.02.21 |
| 짝짝이귀, 비대칭 귀 필러 시술로 개선한 케이스를 소개합니다. (0) | 2025.02.16 |