안녕하세요 닥터도도 도재운 원장입니다.
요즘은 얼굴뿐만 아니라 복부, 허벅지, 팔뚝 등과 같은 바디 전용 리프팅 시술에 대한 관심도도 상당히 높은 편입니다.
우리 병원도 바디울쎄라, 바디인모드, 울핏, 노블쉐이프 등 다양한 장비들을 보유하고 있어 바디 리프팅 환자들이 상당히 많은데요.
바디 리프팅을 찾는 환자분들을 보면 크게 두 가지로 구분됩니다.
1) 피부 탄력이 부족해 처진 경우
2) 탄력 저하와 과도한 지방까지 동반된 경우
바디 리프팅 시술을 할 때 이처럼 유형을 구분하는 이유는 시술 결정에 아주 결정적인 부분이기 때문인데요. 각 유형에 따라서 '단순히 리프팅 효과만 필요로 하는지, 지방 감소 + 리프팅 효과까지 필요로 하는지'를 판단하고 적합한 시술을 선택하기 때문이죠.
오늘은 이런 바디 리프팅 환자 유형 중 지방 감소와 리프팅 효과가 모두 필요한 환자분들에게 적합한 '트루스컬프아이디(Trusculpt ID)'에 관해 이야기를 해보려고 합니다.

트루스컬프아이디는 고주파(RF) 에너지를 이용해 피하 조직의 온도를 38~47도까지 서서히 가열하여 피부 탄력을 회복시키면서 지방 세포까지 파괴하는 리프팅 장비입니다.
시술 부위에 따라서 세 가지 핸드피스(16㎠, 40㎠ 무빙피스, 40㎠ 스탬프)를 사용하며, 각 핸드피스마다 시술 방식이 조금씩 다릅니다.
이번 시간에는 바디 중에서도 가장 지방량이 많고 리프팅 레이저만으론 충분한 효과를 체감하기 어려운 복부, 옆구리살 부위를 40㎠ 스탬프, 무빙피스로 개한 사례를 보여드리겠습니다.

앞서 바디 리프팅 시술은 유형 분석이 무엇보다 중요하다고 언급했습니다.
구독자분들이 보았을 때, 위 사례는 어떤 유형에 속해보이나요.
피부 탄력 저하형? 과도한 지방형?
사진으로만 본다면 과도한 지방이 중력에 따라 아래로 처진 듯한 모습이라 대부분 후자를 말하지 않을까 싶은데요. 하지만 아쉽게도 틀린 답입니다.
위 사례는 지방 처짐과 탄력 저하가 동시에 나타난 상태로 이 상태에서 아무리 지방을 제거한다고 해도 늘어진 복부살이 바람 빠진 풍선처럼 축 처질 가능성이 높습니다.
이런 경우 지방 감소 + 탄력 개선 효과를 동시에 줄 수 있는 시술이 필요한데요.
바로 '트루스컬프아이디' 입니다.


트루스컬프 아이디 시술 전, 12주 후 모습입니다.
저는 항상 레이저 리프팅을 설명할 때 드라마틱한 변화를 기대하면 안된다고 환자분들에게 당부하는 편입니다.
하지만 트루스컬프아이디는 조금 얘기가 다른데요.
개인적인 관리 미흡으로 인해 지방량이 늘어나지만 않는다면 시술 후 서서히 지방이 축소되며 이런 효과가 3~6개월까지도 이어질 수 있습니다.
이러한 결과를 볼 수 있는 이유는 강력한 에너지로 한 번에 지방을 파괴하는 것이 아닌 지방을 서서히 가열시켜 오랜 시간에 걸쳐 지방의 크기를 축소시키기 때문이고요.
즉각적인 효과를 보기는 어렵지만 지방 감소와 탄력 개선 두 가지 효과를 함께 볼 수 있다는 이점을 가지고 있습니다.
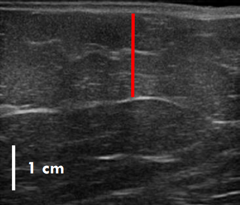
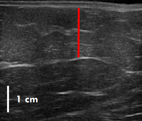
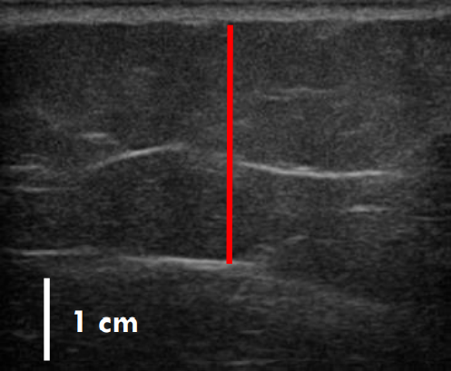
실제 지방이 어느 정도 감소했는지는 초음파 사진을 보면 더욱 뚜렷하게 확인할 수 있는데.


트루스컬프 아이디 시술 전, 12주 후 초음파를 비교한 사진입니다.
레드 라인이 지방층의 두께입니다.
앞서 보여드린 사례의 경우 시술 전과 비교했을 때 약 36% 정도 지방이 감소한 결과를 볼 수 있는데요.
이 정도의 지방량을 줄이려면 일반적인 운동, 식이요법만으로는 한계가 있지요.
다른 사례 하나를 더 보여드릴게요.

앞서 보았던 사례보다 지방량이 훨씬 많고 아직까지 피부 탄력 저하가 심하진 않습니다.
문제는 지방량이 유독 옆구리살에 집중되어 있다는 점인데요. 앞으로 돌출된 복부 지방보다 옆구리는 더더욱 빼기가 쉽지 않죠.
시술 후 모습을 한 번 볼까요.


트루스컬프 아이디 시술 전, 12주 후 모습입니다.
앞서 본 사례보다 시술 전, 후 눈에 띄는 변화가 있는 것은 아니지만 돌출된 옆구리살이 상당 부분 개선된 모습을 볼 수 있죠.
옆구리살의 경우 환자마다 다르지만 위 사례처럼 굴곡진 형태를 띄고 있다면 스탬프로 에너지를 전달하기가 어려워 무빙피스를 병행하여 시술 진행을 도와드립니다.
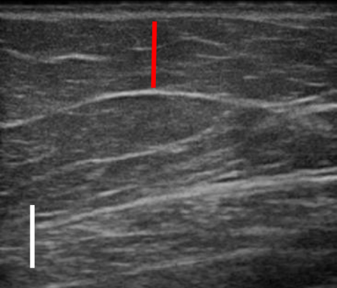
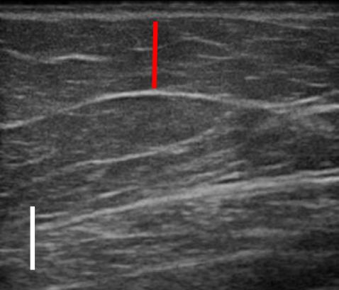
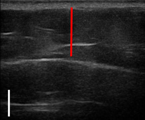
위 사례도 초음파 비교 사진을 보도록 할게요.


트루스컬프 아이디 시술 전, 12주 후 초음파를 비교한 사진입니다.
위 사례의 경우 지방량이 워낙 많다 보니 시술 후 겉으로 드러난 변화는 적었으나 실제로 감소한 지방량은 상당히 많았습니다.
시술 전과 비교했을 때 약 31% 정도 지방이 감소했습니다.
복부, 옆구리살이 너무 많은 경우 실제 눈에 보이는 것보다 내부에 쌓여있는 지방이 두터운 경우가 많아 시술을 해도 큰 변화를 보이지 않는 경우가 많은데요. 실제로 시술 후 큰 변화가 없어 실망하는 분들도 많지만 위와 같이 초음파 검사를 통해 속을 들여다보면 상당 부분 지방이 감소한 것을 확인할 수 있습니다.
트루스컬프아이디는 시술 부위, 면적, 피부 두께 등에 따라서 핸드피스의 선택, 사이즈, 부착 개수(스탬프) 등을 결정하는 것이 아주 중요합니다.
같은 복부, 옆구리 부위더라도 피부 두께, 지방량, 굴곡 정도 등에 따라서 필요한 시술 방식이 달라질 수 있는데요.
단순히 좋은 장비라고 해서 무조건 좋은 결과가 뒤따르는 것은 아닙니다.
환자가 개선을 원하는 부위가 어디인지, 지방 감소가 필요한지, 탄력 개선이 필요한지, 어느 정도로 개선되길 원하는지 등을 종합적으로 분석해 적합한 시술 계획을 세워줄 수 있는 의사를 만나는 것도 중요하다는 점을 기억하시길 바랍니다.
끝까지 읽어주셔서 감사합니다. 더 궁금하신 부분은 비밀 댓글을 남겨주시면 답변드리겠습니다.
'리프팅 > 바디리프팅' 카테고리의 다른 글
| 팔뚝살 제거 지방흡입 수술 없이 시술로도 가능할까?(바디 온다리프팅) (0) | 2023.07.20 |
|---|---|
| 뱃살, 러브핸들, 옆구리살 제거, 리프팅 레이저로도 가능하다고? (0) | 2023.07.09 |
| 바디리프팅 장비를 이용한 팔뚝살 처짐 및 허벅지 사이즈 감소 사례를 보여드립니다. (0) | 2023.06.05 |
| 온다리프팅 후기, 덜렁거리는 팔뚝살을 개선한 사례를 보여드립니다.(바디 리프팅, 바디 타이트닝) (0) | 2023.05.17 |
| 허벅지 안쪽살, 엉밑살 지방 제거 바디 리프팅 장비(트루스컬프id)를 이용한 사례를 보여드립니다. (0) | 2023.02.06 |