2023. 7. 9. 23:23ㆍ리프팅/바디리프팅
안녕하세요 닥터도도 도재운 원장입니다.
여름 준비 시즌은 이미 늦었지만, 그래도 꾸준히 바디 관리를 하고 계신 분들이 많은 것 같습니다.
오늘은 꾸준히 바디 관리를 하고 있지만, 빠지지 않는 군살 때문에 고민이신 분들을 위한 시술 하나를 소개하려고 합니다.
바디리프팅 장비를 이용한 팔뚝살 처짐 및 허벅지 사이즈 감소 사례를 보여드립니다.
안녕하세요 닥터도도 도재운 원장입니다. 오늘은 바디 시술 환자분들이 유독 많았는데. 보통 바디 리프팅 환자분들을 보면 단순히 탄력이 부족해 피부가 처진 분들이 있고, 피부 처짐에 과도한
naturbeauty.tistory.com
바로 일전에 한 번 소개드린 적이 있던 바디리프팅 장비 '트루스컬프iD'입니다.
바디 관리에 있어 가장 중요한 건 '어떤 원인으로 군살이 생겼느냐?'인데요. 군살이 생기는 이유는 크게 두 가지로 구분됩니다.
1) 피부 탄력이 부족해 처진 경우
2) 탄력 저하와 과도한 지방까지 동반된 경우
어떤 원인으로 군살이 생겼는 지에 따라서 '단순히 리프팅 효과만 필요로 하는지, 지방 감소 + 리프팅 효과까지 필요로 하는지'를 판단하고 적합한 시술을 선택하기 때문입니다.
우리 병원은 바디 유형에 따라서 적합한 치료를 위해 바디 필러, 바디 인모드, 울핏, 바디 쉐이프, 카복시 등 아주 다양한 치료 방법을 진행하고 있는데. 오늘은 지방 감소와 리프팅 효과가 모두 필요한 분들에게 아주 적합한 '트루스컬프아이디'에 관한 글을 적어보려고 합니다.
트루스컬프iD란?

트루스컬프아이디(trusculpt ID)는 고주파(RF) 에너지를 이용해 피하조직의 온도를 38~47도까지 서서히 가열해 지방 세포를 파괴하고 피부 탄력을 회복시켜 처짐을 개선해주는 리프팅 장비입니다.
시술 부위, 면적, 피부 두께 등에 따라서 세 가지의 각기 다른 시술 방식을 가진 핸드피스(16㎠, 40㎠ 무빙피스, 40㎠ 스탬프)를 사용하는데요.
오늘 시간에는 40㎠ 스탬프, 무빙피스를 사용해 개선하기가 아주 어렵다고 알려진. 뱃살, 옆구리살(러브핸들)을 개선한 사례를 보여드리려고 합니다.
복부 뱃살 제거 사례 소개

서두에서 제가 바디 관리 시술을 결정할 때 유형에 대한 분석이 중요하다고 언급했는데요.
여러분들이 보시기에 위 사례에서는 어떤 문제가 가장 시급해보이시나요.
늘어진 피부 탄력? 아니면 과도한 지방?
아마 대부분 아래로 축 늘어진 뱃살 지방부터 제거하는 것을 선택하지 않을까 싶습니다.
하지만 여기서 지방만 제거하게 된다면 바람 빠진 풍선처럼 피부가 탄력없이 처지게 될 가능성이 높은데요. 이런 분들은 지방 감소와 탄력을 함께 개선하는 시술이 필요합니다.
바로 '트루스컬프 아이디'와 같은 시술이 말이죠.
트루스컬프iD 시술 전 / 12주 후


트루스컬프 아이디 시술 전, 12주 후 모습입니다.
수술처럼 극적인 변화는 없지만 피부 탄력에 대한 소실없이 자연스럽게 지방이 감소한 결과를 볼 수 있죠. 이러한 결과를 볼 수 있는 이유는 강력한 에너지로 한 번에 지방을 파괴하는 것이 아닌 지방을 서서히 가열시켜 오랜 시간에 걸쳐 지방의 크기를 축소시키기 때문입니다.
즉각적인 효과를 보기는 어렵지만 지방 감소와 탄력 개선 두 가지 효과를 함께 볼 수 있다는 이점을 가지고 있는데요. 실제 지방이 어느 정도 감소했는지는 초음파 사진을 보면 더욱 뚜렷하게 확인할 수 있습니다.
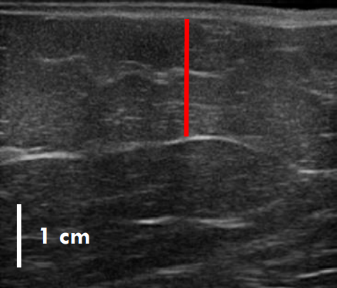
트루스컬프iD 시술 전 / 12주 후 초음파 사진 비교


트루스컬프 아이디 시술 전 / 12주 후 (초음파)
트루스컬프 아이디 시술 전, 12주 후 초음파를 비교한 사진입니다.
시술 전과 비교했을 때 약 36% 정도 지방이 감소한 효과를 볼 수 있는데요. 실제 운동으로 뱃살을 빼 본 분들이라면 아시겠지만 운동이나 식이요법으로 이 정도의 지방 감소 효과를 보려면 상당한 노력과 체계적인 관리를 필요로 하지요.
옆구리살(러브핸들) 사례도 한 번 볼까요.
옆구리살, 러브핸들 제거 사례 소개

위와 같이 옆구리살에 과도한 지방이 붙고 탄력을 잃은 채로 돌출된 모습을 '러브핸들'이라고 부르는데요.
위 사례의 경우 피부 탄력보다는 과도한 지방의 사이즈를 줄이는 것이 급선무로 보이네요.
트루스컬프iD 시술 전 / 12주 후


트루스컬프 아이디 시술 전, 12주 후 모습입니다.
앞서 본 사례보다 시술 전, 후 눈에 띄는 변화가 있는 것은 아니지만 돌출된 옆구리살이 상당 부분 개선된 모습을 볼 수 있죠.
옆구리살을 시술할 때 만약 위와 같이 라인이 울퉁불퉁할 경우 스탬프만으론 균일한 개선 효과를 보기 어려울 수 있는데요. 이런 분들은 무빙피스를 함께 병행하여 시술을 진행하면 조금 더 균일한 효과를 볼 수 있습니다.
해당 사례도 초음파 비교 사진을 보도록 할게요.
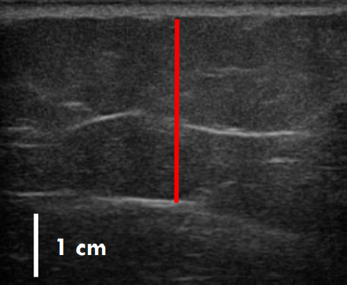
트루스컬프iD 시술 전 / 12주 후 초음파 사진 비교


트루스컬프 아이디 시술 전, 12주 후 초음파를 비교한 사진입니다.
앞서 보았던 뱃살 사례보다 눈에 띄는 변화는 없었으나 실제로 감소한 지방량이 상당했는데요. 시술 전과 비교했을 때 약 31% 정도 지방이 감소했습니다.
뱃살, 옆구리살이 너무 많은 경우 실제 눈에 보이는 것보다 내부에 쌓여있는 지방이 두터운 경우가 많아 시술을 해도 큰 변화를 보이지 않는 경우가 많은데요. 실제로 시술 후 큰 변화가 없어 실망하는 분들도 많지만 위와 같이 초음파 검사를 통해 속을 들여다보면 상당 부분 지방이 감소한 것을 확인할 수 있습니다.
트루스컬프아이디는 시술 부위, 면적, 피부 두께 등에 따라서 핸드피스의 선택, 사이즈, 부착 개수(스탬프) 등을 결정하는 것이 아주 중요합니다.
같은 복부, 옆구리 부위더라도 피부 두께, 지방량, 굴곡 정도 등에 따라서 필요한 시술 방식이 달라질 수 있는데요.
단순히 좋은 장비라고 해서 무조건 좋은 결과가 뒤따르는 것은 아닙니다.
환자가 개선을 원하는 부위가 어디인지, 지방 감소가 필요한지, 탄력 개선이 필요한지, 어느 정도로 개선되길 원하는지 등을 종합적으로 분석해 적합한 시술 계획을 세워줄 수 있는 의사를 만나는 것도 중요하다는 점을 기억하시길 바랍니다.
지금까지 여러분들의 피부·성형 고민의 해결사 닥터도도였습니다. 감사합니다.
'리프팅 > 바디리프팅' 카테고리의 다른 글
| 온다리프팅 시술로 뱃살 제거 얼마나 효과가 있을까? (0) | 2023.07.30 |
|---|---|
| 팔뚝살 제거 지방흡입 수술 없이 시술로도 가능할까?(바디 온다리프팅) (0) | 2023.07.20 |
| 바디리프팅 장비를 이용한 팔뚝살 처짐 및 허벅지 사이즈 감소 사례를 보여드립니다. (0) | 2023.06.05 |
| 온다리프팅 후기, 덜렁거리는 팔뚝살을 개선한 사례를 보여드립니다.(바디 리프팅, 바디 타이트닝) (0) | 2023.05.17 |
| 허벅지 안쪽살, 엉밑살 지방 제거 바디 리프팅 장비(트루스컬프id)를 이용한 사례를 보여드립니다. (0) | 2023.02.06 |