2025. 11. 11. 21:31ㆍ필러
안녕하세요 여러분의 피부·미용 주치의,
닥터도도(Dr. DoDo)입니다.
오늘은 생각보다 많은 환자분들이 고민하는 ‘눈꺼풀 꺼짐’ 에 대해 이야기해보려고 합니다.
나이가 들면서 가장 변화가 체감되는 부위 중 하나가 바로 '눈 주변부'입니다.
눈썹거상술 후기, 지방제거 수술까지 병행했던 50대 여성 환자
안녕하세요 여러분의 피부·미용 주치의,닥터도도(Dr. DoDo)입니다. 오늘은 눈썹하거상술과 상안검 지방제거를 병행한 중년 환자분의 사례를 소개해드리려 합니다. 제가 블로그에서 주로 시술 이
n1k.kr
< 50대 여성 눈썹거상술 후기 >
보통 중년 여성 환자분들의 경우 눈 주변부 문제가 심해지면, 수술적인 방법을 고민하시는 경우가 많은데요.
20~30대 환자분들의 경우 수술에 대한 부담이 크다보니, 쉽사리 결정을 내리지 못하는 경우가 많죠.
이 때, 대안이 될 수 있는 시술이 바로 '필러'입니다.
오늘은 실제로 눈꺼풀 필러 시술과 콜라겐주사 병행으로 눈꺼풀 꺼짐을 개선했던 30대 여성 환자분의 사례를 통해, 어떤 방식으로 자연스럽게 회복이 가능한지 자세히 소개드리겠습니다.
눈꺼풀 꺼짐, 원인 분석이 중요한 이유

눈꺼풀 꺼짐은 단순히 지방이 줄어서 생기는 현상으로 보일 수 있지만, 실제로는 눈 주변의 여러 구조적 원인이 복합적으로 작용합니다.
대표적인 원인은 다음과 같습니다.
- 눈두덩이 지방의 감소
- 상안검 피부의 탄력 저하
- 눈썹의 하수(처짐)
- 안와격막의 약화로 인한 안구 돌출 변화
이렇듯 원인이 다양한 만큼, 단순히 필러를 넣는다고 해서 모두 해결되지 않습니다.
눈꺼풀 꺼짐 치료의 핵심은 ‘정확한 원인 진단’과 ‘필러 주입 깊이·위치의 세밀한 설계’입니다.
필러만으로 채워야 하는 케이스도 있지만, 피부 탄력 저하가 동반된 경우에는 콜라겐 재생 치료를 함께 진행해야 자연스럽고 장기적인 결과를 기대할 수 있지요.
자, 그럼 실제 케이스도 한 번 확인해볼까요?
눈꺼풀 꺼짐이 심했던 30대 여성 환자분 이야기

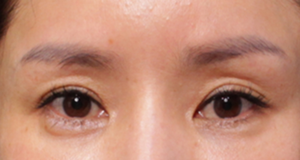
(*우리 병원 환자분의 동의를 받아 게재하는 사진입니다. 무단 도용 및 복제를 금합니다.)
내원 당시 환자분의 사진입니다.
이번 환자분은 30대 초반 여성으로, 눈꺼풀이 꺼져 눈이 작아 보이고, 화장 시 섀도우가 잘 먹지 않는다고 내원하셨습니다.
정면에서 봤을 때 눈두덩이 움푹 들어가면서 쌍꺼풀 라인이 불규칙해졌고, 측면에서는 안구 위쪽이 비어 보이는 전형적인 눈꺼풀 함몰형 꺼짐 상태였습니다.
이 경우 단순히 필러만 주입하면 표면이 울퉁불퉁하거나 인위적으로 부풀어 보일 수 있습니다.
그래서 필러 주입 전 단계에서 콜라겐주사로 피부층의 밀도를 먼저 높인 뒤, 필러를 정밀하게 보강하는 방식을 선택했습니다.
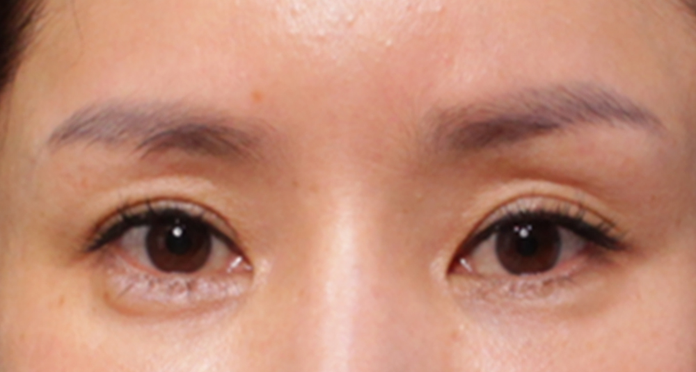
눈꺼풀 필러 + 콜라겐주사 복합 시술 결과는?

눈꺼풀 필러 + 콜라겐주사
복합 시술 후 모습입니다.
(약 1개월 정도 경과)
시술 후 눈꺼풀 꺼짐 부위의 음영이 사라지면서 눈이 또렷하고 생기 있어 보이는 변화를 보였습니다.
특히 이 환자분은 눈꺼풀 피부가 얇은 편이었기 때문에, 히알루론산 필러를 소량 분할 주입하며 자연스럽게 볼륨이 형성될 수 있도록 진행했는데요. 볼륨이 과도하게 들어가지 않도록 세밀한 깊이 조절이 중요했던 케이스였죠.(내원 당시 눈밑 시술을 추가로 진행하신 직후라 약간 멍이 남아있는데, 일시적인 현상이라 3~5일 정도 지나면 자연스럽게 사라집니다.)
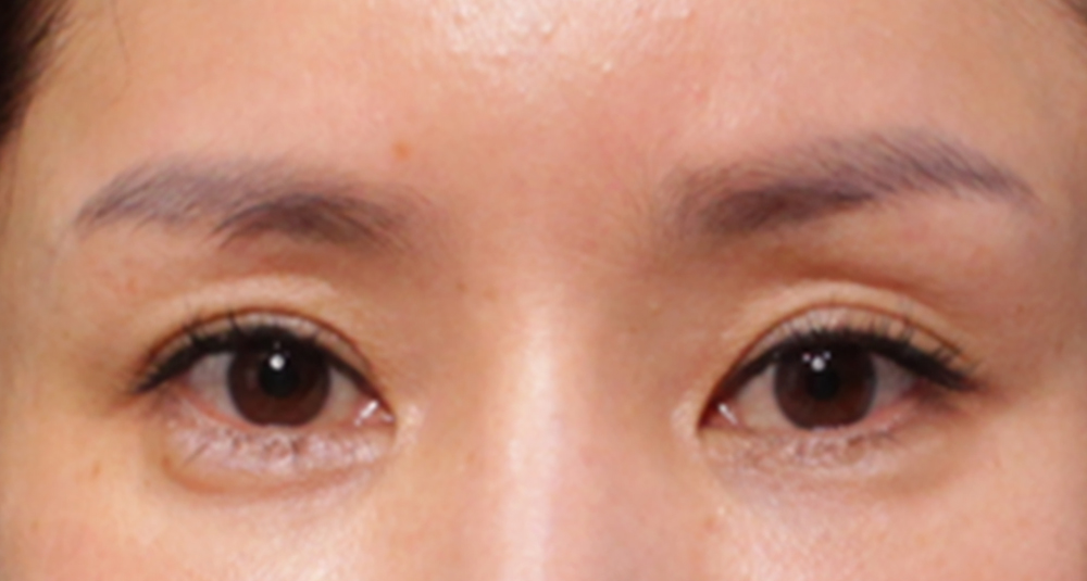
시술 전과 비교해보면, 차이를 조금 더 명확하게 비교해볼 수 있는데요.


* 눈꺼풀 필러 + 콜라겐주사 시술 전/후 사진입니다.
* 동일인이며, 동일한 각도와 장소에서 촬영한 사진입니다.
* 상기 시술은 홍반, 부종, 염증 등 부작용이 발생할 수 있으므로 숙련된 의료진과 충분한 상담 후 시술을 권장합니다.
시술 전, 후를 비교해보면?
내원 당시와 시술 후 사진을 비교해보면, 꺼져 있던 눈두덩이 자연스럽게 채워지고, 눈매가 한층 부드러워진 것을 확인할 수 있습니다.
시술 전에는 눈 위 꺼짐으로 인해 쌍꺼풀 라인이 끊겨 보이고 피곤한 인상이 강했지만, 시술 후에는 눈매가 자연스럽게 연결되며 훨씬 또렷하고 부드러운 인상으로 바뀐 모습이 체감되실 겁니다.




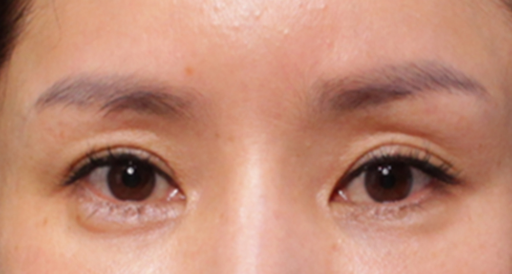
모바일로 보고 계신 분들을 위해,
사진을 조금 확대해봤습니다.
눈을 한 쪽씩 확대해서 보면, 움푹 패인 눈꺼풀 라인이 자연스럽게 차오르면서 눈매가 한층 매끄러워진 모습을 확인하실 수 있을 텐데요.
눈꺼풀이 말려 올라가면서 쌍꺼풀 라인이 살짝 두꺼워졌는데, 해당 부분도 자연스럽게 개선된 모습이고요.
콜라겐주사를 병행한 이유?
눈꺼풀은 다른 부위보다 피부가 얇고 움직임이 많아 단순한 필러 시술만으로는 시간이 지나며 모양이 퍼지거나 불균일해지는 경우가 있습니다.
콜라겐주사를 함께 병행하면 피부 탄력을 회복시키고, 필러가 자리 잡을 수 있는 안정적인 조직층을 만들어주며, 시술 후에도 볼륨이 자연스럽게 유지되도록 도와줍니다.
즉, 콜라겐주사는 눈꺼풀 필러의 ‘지지대’ 역할을 하면서 인위적인 느낌 없이 부드럽게 볼륨을 만들어주는 보조 시술이라 할 수 있습니다.
오늘은 눈꺼풀 필러 + 콜라겐주사 병행으로 꺼짐을 개선한 30대 여성 환자 사례를 소개해드렸습니다.
눈꺼풀 꺼짐은 원인과 상태에 따라 필러, 콜라겐주사, 지방이식 등 다양한 방법으로 접근할 수 있습니다.
하지만 어느 시술을 진행하던, 무엇보다 중요한 것은 정확한 원인 분석과 세밀한 디자인입니다.
눈꺼풀은 1~2mm 차이로도 인상이 달라지는 예민한 부위이기 때문에, 시술 경험이 풍부하고 눈 구조를 정확히 이해하는 의료진과 상담을 통해 자연스럽고 안정적인 결과를 얻으시길 바랍니다.
오늘 이야기는 여기까지입니다.
혹시라도, 궁금하신 부분은 댓글을 남겨주시면 제가 진료 후 답글 남기도록 하겠습니다.
지금까지 닥터도도(Dr.DoDo)였습니다.
감사합니다.
※ 닥터도도 블로그 공지사항 안내 ※ 1. 이 블로그의 포스팅과 댓글은 모두 제가 직접 작성하고 있습니다. 2. 댓글 문의는 진료 전·후로 시간이 될 때 답변을 드리고 있습니다. (문의가 많아 답변이 늦을 수 있는 점 양해 부탁드립니다.) 3. 비용 문의는 답변이 어렵습니다. (환자분마다 적합한 시술부터 제품, 용량 등이 다 다르다보니.. 진료 없이 정확한 안내를 드리기가 어렵고 잘못된 비용을 안내드리면 안되기에 블로그에서 비용 상담은 하지 않고 있습니다.) |
'필러' 카테고리의 다른 글
| 누운 귀 필러 후기, 용량, 가격 등 이 글 하나로 정리합니다. (0) | 2025.11.21 |
|---|---|
| 이마필러 전후 비교, 당신의 시술이 실패하는 이유? (0) | 2025.11.14 |
| 옆볼꺼짐 필러, 콜라겐주사 선택은 환자마다 다릅니다.(ft. 해골형 얼굴) (0) | 2025.11.10 |
| 누운귀, 요정귀 교정 수술 대신 필러 하나로 개선한 후기(ft. 귀필러) (0) | 2025.11.03 |
| 누운귀, 작은귀, 엘프귀 등 귀 모양 교정 필러 하나로 끝? (0) | 2025.10.27 |