2025. 7. 2. 22:05ㆍ필러
안녕하세요 여러분의 피부·미용 주치의,
닥터도도(Dr. DoDo)입니다.
오늘 주제는 "꺼진눈 필러"입니다.
나이가 들면서 눈 위가 꺼지고, 쌍꺼풀 라인이 비정상적으로 변하거나 겹쌍꺼풀이 생기는 현상을 경험하는 분들이 많습니다. 특히 상안검 부위의 지방이 감소하거나 골격 구조상 눈두덩이가 선천적으로 꺼져 있는 경우, 더 피곤하고 나이 들어 보이는 인상을 줄 수 있어 이를 개선하고자 수술적인 방법을 많이들 고민하시죠.
그런데, 이런 문제를 꼭 수술이 아니어도 개선할 수 있다는 것 아시나요?
최근에는 이런 꺼진눈 증상을 수술없이 비교적 간단한 필러로도 개선하는 경우가 정말 많습니다.
단, 눈두덩이는 해부학적으로 매우 얇고 민감한 구조이기 때문에 필러 시술 시 특히 정교한 테크닉과 경험이 요구되는데요. 오늘은 ‘눈두덩이 꺼짐’으로 고민하시던 환자분의 실제 사례를 통해, 비수술적 접근만으로도 자연스럽고 부드러운 눈매를 어떻게 회복할 수 있었는지 공유해보려 합니다.
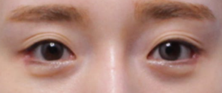
눈두덩이가 움푹 꺼지면서 겹쌍꺼풀까지 생긴 환자분

(*우리 병원 환자분의 동의를 받아 게재하는 사진입니다. 무단 도용 및 복제를 금합니다.)
내원 당시 환자분의 사진입니다.
시술 전 환자분의 눈 사진을 보면, 상안검 부위가 전반적으로 꺼져 있고, 이로 인해 쌍꺼풀 라인이 과도하게 접히며 겹쌍꺼풀처럼 보이는 상태였습니다. 특히 눈두덩이 꺼짐은 피하지방 위축 외에도 반복적인 쌍꺼풀 테이프 사용이 원인이 되는 경우가 많죠.

환자분의 눈을 확대해서보면?
쌍꺼풀 라인이 한 겹이 아닌, 두 겹으로 겹쳐있는 모습을 확인하실 수 있는데요. 눈두덩이 부위가 움푹 꺼지면서 피부층이 위로 말려 올라가 겹쌍꺼풀이 된 상태입니다.
이런 경우에는 상안검과 같은 절개를 통한 성형술을 통해서 개선해볼 수도 있겠지만, 절개와 마취 그리고 흉터 등 여러 부담 때문에 눈성형은 피하고 싶다면 눈두덩이 볼륨을 보완해주는 방식의 히알루론산 필러 시술이 부담도 적고 비교적 간단하게 개선해볼 수 있는 좋은 대안이 될 수 있습니다.
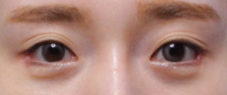
꺼진눈 필러 시술 후 결과는?

꺼진눈 필러 시술 후 모습입니다.
전체적인 꺼짐 부위에 얇고 넓게 퍼지는 방식으로 필러를 주입해 눈두덩이 부위에 자연스러운 볼륨을 확보했고, 쌍꺼풀 라인도 정상적으로 돌아온 모습을 확인하실 수 있죠.

마찬가지로 눈을 확대해보면?
눈을 확대해서 보면, 겹쌍꺼풀이 개선되면서 눈꺼풀 라인이 한층 부드러워지고 훨씬 또렷하게 개선된 모습이고, 필러 시술을 진행했음에도 인위적인 느낌 없이 눈의 깊이감과 입체감을 회복한 모습이 인상적이지요?
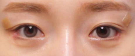
시술 전과 비교해보면, 차이를 조금 더 명확하게 비교해볼 수 있을 텐데요.

* 꺼진눈 필러 시술 전/후 사진입니다. (시술 당일)
* 동일인이며, 동일한 각도와 장소에서 촬영한 사진입니다.
* 상기 시술은 홍반, 부종, 염증 등 부작용이 발생할 수 있으므로 숙련된 의료진과 충분한 상담 후 시술을 권장합니다.
시술 전, 후를 비교해보면?
시술 전에는 꺼진 눈 위로 인해 겹쌍꺼풀이 형성되며 전체적인 눈매가 가라앉아 보였지만, 시술 후에는 쌍꺼풀 라인이 정돈되면서 또렷한 인상으로 개선된 모습을 확인할 수 있습니다.

눈을 확대해서 비교해보면?
시술 전과 후의 눈매 라인 변화를 조금 더 명확하게 비교해보실 수 있을 겁니다.
눈두덩이는 일반적인 필러 시술 부위보다 훨씬 더 섬세한 해부학적 구조를 가지고 있으며, 주사 깊이·제품 선택·볼륨 컨트롤이 결과에 결정적인 영향을 미칩니다.
특히 얇고 민감한 부위인 만큼, 술자의 경험이 직접적으로 결과에 반영되기 때문에 가급적 숙련된 의료진을 통해 시술을 진행하는 것을 권해드리고 싶네요.(단순히 필러 시술 경험이 많은 의사가 아닌, 눈 주변부 시술을 많이 경험해본 의료진을 찾는 것이 중요합니다.)
이번 시간에는 눈두덩이 꺼짐을 필러 시술로 개선했던 케이스를 자세하게 소개해드렸는데요.
혹시나 오늘 글을 보시고 "나도 필러나 한 번 받아봐야겠다"라고 생각하는 분들이 있다면, 그 전에 이 시술이 나에게 적합한지 유무부터 따져보시길 권해드립니다.
꺼진눈 필러는 비교적 간단하게 눈두덩이꺼짐, 겹쌍꺼풀 등의 문제를 개선할 수 있는 좋은 시술이지만, 환자분들의 상태나 증상 정도에 따라 필러로 개선하기 어려운 케이스도 존재합니다.
고로, 시술을 결정하기 앞서 환자분의 눈 상태를 세밀하게 분석, 진단하여 적절한 대안을 찾아줄 수 있는 의료진과의 상담이 가장 중요합니다.
오늘 이야기는 여기까지입니다.
혹시라도, 궁금하신 부분은 댓글을 남겨주시면 제가 진료 후 답글 남기도록 하겠습니다.
지금까지 닥터도도(Dr.DoDo)였습니다.
감사합니다.
※ 닥터도도 블로그 공지사항 안내 ※ 1. 이 블로그의 포스팅과 댓글은 모두 제가 직접 작성하고 있습니다. 2. 댓글 문의는 진료 전·후로 시간이 될 때 답변을 드리고 있습니다. (문의가 많아 답변이 늦을 수 있는 점 양해 부탁드립니다.) 3. 비용 문의는 답변이 어렵습니다. (환자분마다 적합한 시술부터 제품, 용량 등이 다 다르다보니.. 진료 없이 정확한 안내를 드리기가 어렵고 잘못된 비용을 안내드리면 안되기에 블로그에서 비용 상담은 하지 않고 있습니다.) |
'필러' 카테고리의 다른 글
| 바디필러 후기, 오다리 수술 대신 필러를 택했던 여성 환자 사례 (0) | 2025.07.23 |
|---|---|
| 눈두덩이꺼짐, 필러로 교정한 실제 시술 후기 (0) | 2025.07.08 |
| 쌍꺼풀 겹침, 두겹쌍꺼풀 수술 대신 필러 시술로 개선한 케이스 (0) | 2025.06.23 |
| 팔자주름제거 필러? 실리프팅? 정답이 없는 이유 (0) | 2025.06.03 |
| 광대꺼짐필러, 앞광대가 움푹 들어간 환자분 이야기 (0) | 2025.05.28 |