2025. 6. 7. 23:03ㆍ리프팅/실리프팅
안녕하세요 여러분의 피부·미용 주치의,
닥터도도(Dr. DoDo)입니다.
오늘은 '눈밑지방제거 및 재배치' 주제로 이야기를 해보려고 합니다.
저는 시술·수술을 모두 다 하는 의사로써, 환자분들의 상태를 고려해 가장 적합한 방법으로 치료를 도와드리고 있는데요.
눈밑 지방재배치 수술을 이용한 다크서클 치료 방법?
안녕하세요 이지동안 강남본점 원장,닥터도도 도재운입니다. 오늘 포스팅 주제는 "눈밑지방재배치 수술을 이용한 다크서클 제거"입니다. 제가 현장에서 환자분들과 상담을 하다 보면, 정말
n1k.kr
< 눈밑지방재배치 수술 Case >
예전에 한 번, 눈밑지방재배치 수술을 활용해 눈밑꺼짐을 개선했던 케이스를 소개드린 적이 있습니다.
눈밑지방재배치는 눈밑 결막을 통해 튀어나온 지방을 제거하고, 눈 밑의 움푹 들어간 부분을 채워 눈밑을 평평하게 만들어주는 수술이지요?
주로 눈밑꺼짐이 심하거나 지방돌출이 복합된 환자분들에게 적용하는데, 이런 수술 대신 '실리프팅'으로도 비슷한 효과를 줄 수 있다는 것. 아시나요?
오늘은 실제 눈밑지방재배치 실리프팅 케이스를 여러분들께 소개드리려고 합니다.
바로 시작해보죠.
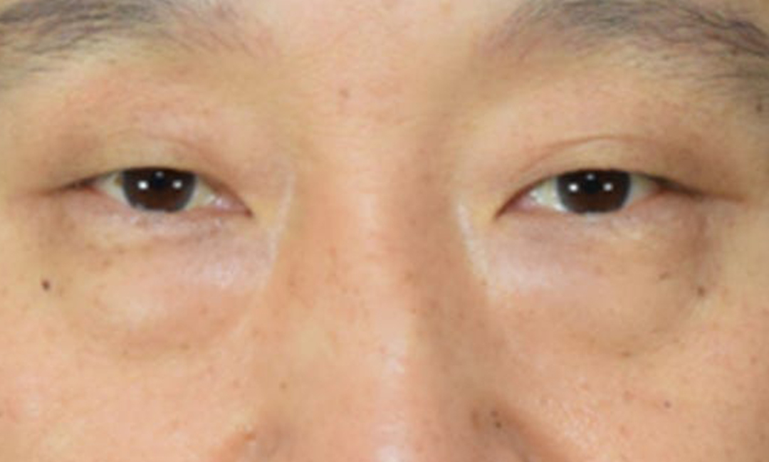
눈밑 지방돌출 + 꺼짐이 동반되었던 환자분

(*우리 병원 환자분의 동의를 받아 게재하는 사진입니다. 무단 도용 및 복제를 금합니다.)
내원 당시 환자분의 사진입니다.
50대 남성 환자분으로, 눈밑에 지방이 심하게 돌출되고 다크서클까지 생겼다는 이유로 우리 병원을 찾아오셨습니다.
사진을 보면, 양쪽 눈밑이 볼록하게 올라와있는 것이 크게 느껴질 정도로 눈밑 지방돌출이 심한 상태이죠.

눈밑을 확대해서보면?
단순히 지방 돌출만이 아니라, 눈물고랑(tear-trough) 부위가 패이면서 다크서클까지 동반된 상태이고요.
환자분처럼 지방성 + 꺼짐성이 복합된 케이스의 경우 지방 돌출 정도가 심해 수술적인 방법이 필요하지만.
제가 보았을 땐, 수술이 아닌 실리프팅과 한 가지 수술을 병행해 문제를 개선해볼 수 있겠다고 판단되어 환자분과 상의 후 시술 진행을 결정했습니다.
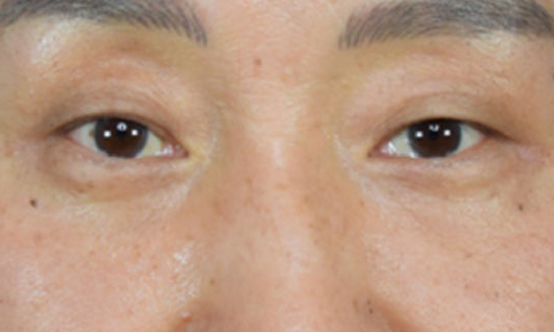
눈밑지방재배치 실리프팅 + 인대고정술 복합 시술 후

눈밑지방재배치 실리프팅
+ 인대고정술 후 모습입니다.
시술 전에는 눈밑에 지방돌출이 심해 볼록하게 돌출되어 있었는데, 시술 후 사진에서는 이런 문제가 크게 호전된 모습을 볼 수 있지요?

눈을 확대해서보면?
또한, 꺼진 눈물고랑 부위도 자연스럽게 차올라 눈이 한층 동안스러워진 모습을 보여주고 있습니다.
시술 전과 비교해보면, 변화를 조금 더 명확하게 비교해볼 수 있는데요.


* 이마필러 + 보톡스 시술 전/후 사진입니다. (시술 당일)
* 동일인이며, 동일한 각도와 장소에서 촬영한 사진입니다.
* 상기 시술은 홍반, 부종, 염증 등 부작용이 발생할 수 있으므로 숙련된 의료진과 충분한 상담 후 시술을 권장합니다.
시술 전과 비교해보면?
환자분의 경우 눈 주변부의 피부 처짐도 심한 상태라 외안각 고정술(인대고정술)을 병행하여 전체적인 눈매 라인을 한층 부드럽게 개선했는데요.
시술 후 사진을 보면, 눈밑 문제뿐만 아니라 전체적인 눈매 라인이 훨씬 동안스러워진 모습을 비교해볼 수 있지요.
모바일로 보고 계신 분들은 잘 보이지 않으실 것 같아 사진을 조금 확대해서 볼게요.


한 쪽 눈만 확대해서
비교해봤습니다.
눈밑지방재배치 수술과 다르게 눈밑지방재배치 실리프팅은 절개나 지방 소실없이 리프팅실 하나만으로 문제를 개선하기 때문에 훨씬 부담이 적고 다운타임도 매우 적은 편인데요.
또한, 눈밑지방재배치 수술의 경우 단순히 눈 지방의 위치를 바꿔주는 수술로써, 지방이식처럼 '생착률'의 문제가 있어 수술 초기에는 모양이 잘 잡히지만 생착률로 인해 수술 결과가 안 좋은 방향으로 흘러가기도 하거든요.
눈밑지방재배치 실리프팅은 이런 생착에 대한 리스크도 없는 편이라, 결과적으로 훨씬 더 만족도가 높은 편이고요.(단, 시술이 제대로 이루어졌을 경우를 가정해야겠지만요.)
자, 오늘은 이렇게 눈밑지방재배치 실리프팅 + 인대고정술 복합 시술을 통해 눈밑 지방돌출, 꺼짐 등으로 고민했던 환자분의 사례를 소개드렸는데요.
눈주변의 문제는 환자분들마다 다 다르고, 문제의 원인과 증상 정도에 따라 적합한 시술/수술 선택이 크게 달라집니다.
환자분들은 이 점을 꼭 기억하시고, 가급적 시술·수술이 모두 가능한 의사를 찾으셔서 충분한 상담 후 신중한 결정을 내리셨으면 좋겠습니다.
오늘 이야기는 여기까지입니다.
혹시라도, 궁금하신 부분은 댓글을 남겨주시면 제가 진료 후 답글 남기도록 하겠습니다.
지금까지 닥터도도(Dr.DoDo)였습니다.
감사합니다.
※ 닥터도도 블로그 공지사항 안내 ※ 1. 이 블로그의 포스팅과 댓글은 모두 제가 직접 작성하고 있습니다. 2. 댓글 문의는 진료 전·후로 시간이 될 때 답변을 드리고 있습니다. (문의가 많아 답변이 늦을 수 있는 점 양해 부탁드립니다.) 3. 비용 문의는 답변이 어렵습니다. (환자분마다 적합한 시술부터 제품, 용량 등이 다 다르다보니.. 진료 없이 정확한 안내를 드리기가 어렵고 잘못된 비용을 안내드리면 안되기에 블로그에서 비용 상담은 하지 않고 있습니다.) |
'리프팅 > 실리프팅' 카테고리의 다른 글
| 이중턱살제거, 두툼하게 접히는 턱살이 고민이었던 환자분 이야기(ft. 실리프팅) (0) | 2025.07.01 |
|---|---|
| 불독살 리프팅, 원인 분석에 따른 맞춤 치료의 중요성 (0) | 2025.06.24 |
| 중년 실리프팅 후기 - 심부볼 처짐이 심했던 50대 여성 환자분 (0) | 2025.05.14 |
| 테스실리프팅 시술의 원리 그리고 단점, 주의사항 등 총 정리 (0) | 2025.04.25 |
| 옆광대축소 수술 대신 시술로 개선한 케이스(ft. 실리프팅) (0) | 2025.04.04 |