안녕하세요 이지동안 강남본점 원장,
닥터도도 도재운입니다.
오늘 포스팅 주제는 "울쎄라 리프팅 부작용" 입니다.
제가 블로그를 통해서 울쎄라 리프팅과 관련하여 환자분들이 궁금해하는 질문들을 주제로 정말 많은 이야기들을 적어왔었는데요.
울쎄라 리프팅 주기 6개월, 1년 적정 시술 주기 정답은?
안녕하세요 이지동안 강남본점 원장,닥터도도 도재운입니다. 오늘 포스팅 주제는 "울쎄라 리프팅 주기"입니다. 제가 평소 울쎄라 환자분들에게 가장 많이 듣는 질문 중 하나가 '시술 주기'
naturbeauty.tistory.com
< 울쎄라 리프팅 6개월, 1년 적정 주기는? >
울쎄라 리프팅 마취 방법, 수면 VS 비수면 선택은?(ft. 마취크림, 에어녹스)
안녕하세요 이지동안 강남본점 원장,닥터도도 도재운입니다. 오늘 포스팅 주제는 "울쎄라 리프팅 마취 방법" 입니다. '울쎄라 리프팅' 하면 가장 먼저 떠오르는 단어가 있죠. 바로 '시술
naturbeauty.tistory.com
< 울쎄라 리프팅 수면 마취 VS 비수면 마취 >
오늘 주제인 울쎄라 리프팅 부작용(볼꺼짐, 볼패임)도 제가 평소에 정말 많이 듣는 질문이자 실제로 여러 번 치료를 도와드린 적도 있는 문제 중 하나입니다.
많이 다뤄왔던 문제인만큼, 구독자분들이 궁금해하는 부분들을 아래와 같이 정리해서 이야기를 해보도록 하지요.
1. 울쎄라 리프팅 부작용(볼꺼짐, 볼패임)의 원인
2. 울쎼라 리프팅 부작용(볼꺼짐, 볼패임) 방지 방법
3. 울쎄라 리프팅 부작용(볼꺼짐, 볼패임) 대처 방법
바로 시작해볼까요?
울쎄라 후 볼꺼짐(볼패임)이 발생하는 이유는?
우선, 울쎄라 리프팅은 초음파(HIFU) 기반의 리프팅 레이저입니다.
피부 속 일정 깊이(1.5, 3.0, 4.5mm)에 강한 초음파 에너지를 집속하여 열응고점을 형성하고 이를 중심으로 피부의 수축, 콜라겐 부스팅을 유도하는 시술이지요.
울쎄라 리프팅 효과, 통증, 적정 샷 수, 부작용 등에 대하여 알려드립니다.
안녕하세요 닥터도도 도재운 원장입니다. '레이저 리프팅'이라고 하면 환자분들이 생각하시는 장비가 아주 다양할 텐데요. 슈링크, 울쎄라, 써마지, 인모드, 올리지오 등등 사실 이렇게 장비가
naturbeauty.tistory.com
< 울쎄라 리프팅의 원리 >
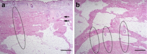
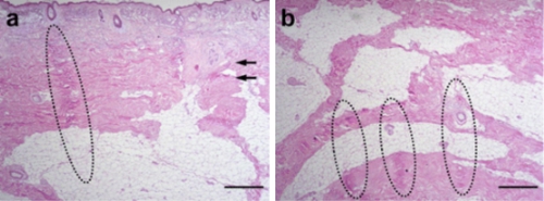
이렇게 울쎄라 리프팅의 강력한 에너지가 피부에 전달되면, "지방 위축 및 파괴"시키는 효과가 같이 나타날 수 있습니다.

실제로 한 논문에서 울쎄라 리프팅 시술 후 조직검사를 진행한 사진인데요.
사진을 보면, 지방이 파괴되는 모습들이 관찰됩니다.
이는 울쎄라 리프팅의 장점이자 단점이기도 한데, 살이 많은 분들에게는 지방이 파괴되면서 조금 더 다이나믹한 리프팅·타이트닝 효과를 기대할 수 있다는 장점이 있고요.
이와 달리, 얼굴에 살이 부족한 분들은 이로 인해 얼굴 살이 더욱 없어보이게 될 수도 있죠.
그래서 울쎄라는 시술 적응증(indication)을 잘 분석한 후, 환자분에게 이 시술이 맞는지 맞지 않는지 따져보는 과정이 매우 중요합니다.
울쎄라 리프팅 부작용(볼꺼짐, 볼패임) 방지 방법
사실, 울쎄라 리프팅 부작용(볼꺼짐)을 방지하는 방법은 생각보다 간단합니다.
앞서 설명했듯이 술자가 환자분의 상태를 확인하고 얼굴 살이 부족하거나 울쎄라가 적합하지 않을 경우, 대체 시술을 진행하면 되거든요. (대부분 무리하게 시술을 진행하다가 이런 불상사가 발생하는..)

환자분들마다 적응증을 분석할 때, 굉장히 다양한 부분들을 정밀하게 분석/진단하고 결정해야 하지만 간단하게 '얼굴에 살이 많이 없다?' 이런 분들은 울쎄라를 피해주는 것을 권해드리는 편입니다.
다만, 이런 기준이 꼭 절대적인 것은 아닙니다.
케이스에 따라서 얼굴 살이 부족한 분들 중에서도 정교한 디자인을 통해 볼꺼짐, 볼패임을 방지하면서 시술을 진행할 수도 있거든요.

얼굴에 살이 없는 분들은 지방파괴, 위축 효과가 없는 써마지 같은 시술이나 어느 정도의 볼륨감과 탄력 효과를 줄 수 있는 콜라겐시술이 더 좋은 방법이 될 수 있습니다.
울쎄라, 써마지 효과 어떤 레이저가 더 좋은가요? 의료진이 알려드립니다.(논문 사례 포함)
안녕하세요 닥터도도 도재운 원장입니다. "원장님 울쎄라, 써마지 뭐가 더 좋나요?" "원장님 울쎄라랑 써마지 효과가 다른가요?" 제가 현장에서 울쎄라, 써마지 환자분들에게 자주 듣는 질문입니
naturbeauty.tistory.com
< 울쎄라 vs 써마지 비교 >
일전에 울쎄라, 써마지 장비를 비교하는 글을 적었던 적이 있으니 궁금하신 분들은 위 글을 참고해보시면 좋을 것 같습니다.
울쎄라 후 볼꺼짐(볼패임) 발생 시 대처 방법은?
사실, 앞서 설명드린 것처럼 사전에 의료진과 충분한 상담을 통해서 볼꺼짐, 볼패임을 피했다면 좋았겠지만...
이미 이런 부작용(볼꺼짐, 볼패임)이 생긴 분들이라면 아마 막막한 심정이실 텐데요.
이 때는 환자분들의 케이스에 따라서 대처 방법이 조금 달라질 수 있습니다.
- 시술 전에도 볼꺼짐의 유무
- 시술 후 볼꺼짐의 정도
위와 같은 다양한 부분들을 고려하여, 방법을 선택하는데 저는 크게 두 가지 방법을 활용하는 편입니다.
1. 볼꺼짐이 개선될 때까지 기다리는 방법
대부분의 시술 효과는 영구적이지 않고, 울쎄라의 지방위축·파괴 효과도 시간이 지나면 점차 돌아오는 경우가 많습니다.
물론 수 개월 정도의 기간이 소요되겠으나, 일부 환자분들을 제외하고는 대부분 돌아오니 시간적인 여유를 갖고 기다려보는 것이 방법이 될 수 있겠죠.
2. 볼꺼짐 개선 시술을 받는 방법
수 개월씩 기다릴 시간이 부족하거나, 시간이 지나도 회복되지 않는 경우에 적합한 방법인데요.
볼꺼짐, 볼패임을 개선해줄 수 있는 시술을 통해 이를 개선하는 방법입니다.

필러, 콜라겐주사 같은 시술부터 볼륨 회복을 도와주는 지방재배치실 같은 방법을 통해서 볼꺼짐을 개선할 수 있답니다.
볼꺼짐, 볼패임 개선 시술은 다양하기 때문에 이 부분은 환자분 스스로 결정하시기 보단 숙련된 의료진을 통해 충분한 상담을 받아보신 후 결정하는 것을 권해드립니다.
오늘은 울쎄라 리프팅 부작용(볼꺼짐, 볼패임)의 발생 원인, 방지 방법, 대처 방법까지 자세하게 소개해드렸는데요.
울쎄라 리프팅은 술자의 영향을 정말 많이 받는 시술입니다.
환자분들은 가급적 '시술 비용'만을 강조하는 병원보다는 시술자의 경험, 숙련도 등을 보시고 시술을 진행하는 것을 권장드리고 싶습니다.
혹시라도, 부작용이 생겼다면 당황하지 마시고 충분히 대처가 가능하니 울쎄라 리프팅 부작용 치료가 가능한 병원을 찾으셔서 진료 상담을 한 번 받아보시면 좋을 것 같네요.
오늘은 여기까지 적어보도록 하겠습니다.
혹, 궁금하신 부분은 댓글을 남겨주시면 제가 진료 후에 답변드리도록 하겠습니다.
지금까지 이지동안 강남본점 원장,
닥터도도 도재운이었습니다.
감사합니다.
'리프팅 > 초음파리프팅' 카테고리의 다른 글
| 울쎄라 리프팅 300샷 후기, 실제 시술 사진으로 비교해봤습니다. (0) | 2025.07.24 |
|---|---|
| 울쎄라 리프팅 600샷 전후, 얼마나 효과가 있을까? (0) | 2025.01.23 |
| 울쎄라 리프팅 주기 6개월, 1년 적정 시술 주기 정답은? (6) | 2024.11.03 |
| 슈링크 유니버스 부작용, 울트라 F, 부스터, 시술 주기 등 질문에 답해드립니다. (0) | 2024.10.14 |
| 울쎄라 리프팅 마취 방법, 수면 VS 비수면 선택은?(ft. 마취크림, 에어녹스) (0) | 2024.09.11 |
