2024. 11. 6. 22:53ㆍ피부관리/여드름치료
안녕하세요 이지동안 강남본점 원장,
닥터도도 도재운입니다.
오늘 포스팅 주제는 '얼굴 여드름흉터치료'입니다.
제가 일전에 여드름과 관련된 글을 시리즈로 올린 적이 있는데요.
| 여드름 피부과 치료의 모든 것 1편 - 여드름 압출, 염증주사 |
https://naturbeauty.tistory.com/633 |
| 여드름 피부과 치료의 모든 것 2편 - 여드름 재발 방지 |
https://naturbeauty.tistory.com/634 |
| 여드름 피부과 치료의 모든 것 3편 - 여드름 자국, 여드름 색소침착, 붉은 자국 치료 |
https://naturbeauty.tistory.com/638 |
| 여드름 피부과 치료의 모든 것 4편 - 여드름 흉터 치료(후유증 치료의 시작) |
https://naturbeauty.tistory.com/677 |
이번 시간에는 이 중 마지막 4편 여드름 흉터와 관련하여 조금 더 심도있는 이야기를 해보려고 합니다.
얼굴 여드름흉터치료, 패임에는 프락셀?
여드름 흉터의 경우, 대부분 움푹 패인 형태로 나타나는데 이런 패인 흉터를 치료할 때 '프락셔널 레이저(Fractional Laser)'에 대한 이야기가 꼭 언급되곤 합니다.
여러분들에게는 프락셀이라는 명칭이 조금 더 친숙하실 텐데요.
프락셀은 피부에 의도적인 상처를 주어 피부의 재생 반응을 유도해 흉터를 차오르게 하는 레이저입니다.
이러한 프락셀은 크게 두 가지 유형으로 구분하는데요.

1. 박피성 프락셀 레이저
박피성 프락셀은 피부층을 기화시켜 깊은 기둥을 형성하고, 기둥 주위에는 열 효과를 통해 피부 수축을 유도하여 자연스럽게 피부층을 차오르게 만드는 효과를 기대할 수 있는데요.
보통 이 정도로 강한 데미지를 주면서 흉터를 치료하면, 좋은 효과가 있을 거라고 생각하시겠지만 실제로 효과가 다이나믹하지는 않아 요즘에는 잘 사용하지 않는 편입니다.

2. 비박피성 프락셀 레이저
비박피성 프락셀 레이저는 박피성 프락셀과 다르게, 피부층에 손상을 거의 주지 않고 진피층을 타겟으로 에너지를 전달하여 LIOB 반응(아래 조직학 사진 속 하얀 공동 공간)을 유도하고 내부에서부터 흉터가 차오르게 만들어주는 치료인데요.
이런 과정에서 피부 표피층에 손상을 거의 주지 않고 효과는 효과대로 챙길 수 있어 최신 프락셀 치료로도 잘 알려져 있답니다.

저도 실제 여드름흉터 환자분들의 치료를 할 땐, 박피성 프락셀보다 인라이튼 루비피코 장비에 니플스라는 MLA 렌즈를 장착해 비박피성 프락셀 레이저 치료를 진행하고 있는데요.
다만, 모든 흉터에 이 방법을 활용하지는 않습니다.
환자분들마다 흉터 부위, 피부 상태 등 여러 변수에 따라서 프락셀만으로 치료가 어려운 케이스가 있어 환자분의 상태에 맞게 치료를 진행하고 있습니다.
얼굴 여드름흉터치료, 패임 프락셀만이 답은 아니다?


아주 오래 전, 제 얼굴에 있던
여드름흉터 사진입니다.
여드름흉터의 경우 10~30년 이상 지나도 자연적인 회복이 잘 되지 않고 치료를 해도 100% 완벽하게 제거가 어려운데요.
이미 보신 분들도 있겠지만, 저도 오래 전 여드름흉터로 고민했던 한 명의 환자(?)였습니다.
사실 이 때 여드름흉터 치료에 많은 관심을 갖게 되면서 지금까지 이어지지 않았나 싶은데요. 지금도 흔적이 남아있긴 하지만 저 때 당시보다 훨씬 좋아졌고 지금은 나이가 있어 잘 신경쓰지는 않고 있지만..
그동안 제 얼굴에 정말 많은 임상 실험을 하면서 다양한 치료 방법과 노하우를 축적해왔었답니다.
그렇게 축적된 노하우, 경험들을 통해 저만의 여드름흉터치료 시술인 'SSRT(Skin Scar Renewal Technic)'이라는 시술까지도 개발하게 되었구요.
패인 여드름 흉터 치료, 피부과 의사가 직접 받아봤습니다. (SSRT - Skin Scar Renewal Technic)
안녕하세요 이지동안 강남본점 원장, 닥터도도 도재운입니다. 우리 병원은 주로 안티에이징(Anti-Aging) 시술에 집중하고 있지만, 제 개인적으로 여드름 치료, 여드름 흉터 치료 분야에 관심이 굉
naturbeauty.tistory.com
< 패인 여드름 흉터 치료 - SSRT란? >
SSRT의 경우 제가 직접 받아본 후기도 소개드린 적이 있고, 여러 학회 강연에서도 이를 소개한 적이 있는데요.
아마 여러분들에게 궁금한 건 '실제 결과'일 테지요?
한 번 보여드리겠습니다.
얼굴 여드름흉터치료, SSRT 치료 결과는?

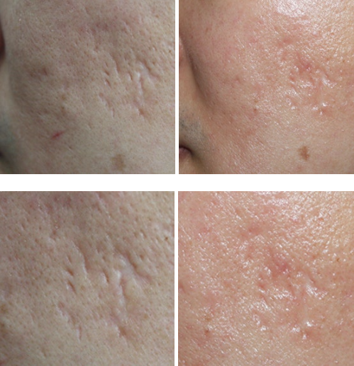
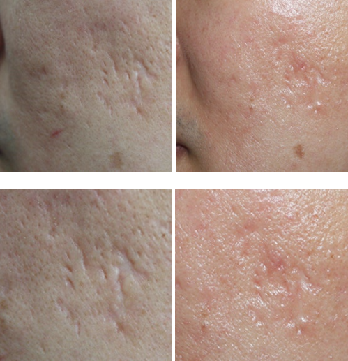
얼굴 여드름흉터치료 - SSRT 1회차 전, 후
(약 3주 정도가 경과한 모습입니다.)
사진을 보면, 1회 밖에 치료를 진행하지 않았지만 전반적으로 패인 흉터가 수복되고 있는 모습을 확인하실 수 있는데요.
흉터가 완전히 사라지지는 않았지만, 1회 치료만으로도 상당히 긍정적인 결과를 보여주는 모습입니다.
사실 제가 이런 사진들을 보여드리는 이유가 'SSRT가 좋습니다'라고 자랑을 하기위함은 아닙니다.
저는 여드름흉터치료 시 SSRT 외에도 재생주사, 프락셀, 어븀야그, 미세침 등 다양한 시술들을 적극적으로 활용하고 있으며, 환자분들의 피부 상태, 흉터의 상태 등을 고려해 가장 적합한 치료를 진행하고자 많은 노력을 기울이고 있는데요.
그동안 다양한 치료들을 받아봤지만, 여드름흉터에 진전이 없었다면 위와 같은 SSRT 치료도 하나의 방법이 될 수 있다는 점을 말씀드리고 싶었습니다.
이번 시간에는 얼굴 여드름흉터치료와 관련해서 몇 가지 심도있는 이야기를 해보았는데요.
여드름흉터치료에 정답은 없습니다.
환자분들의 피부 상태, 흉터의 깊이, 범위, 형태, 부위 등 다양한 변수에 따라 필요한 치료 방법이 다 다르기 때문에 '나에게 맞는 치료'를 진행하는 것이 무엇보다 중요합니다.
만약 여드름흉터치료를 진행하고 있는데, 별다른 진전이 없거나 제자리 걸음을 하고 계시다면, 혹 내가 받는 치료가 나에게 맞지 않는 것은 아닌지? 확인해보시면 좋을 것 같네요.
오늘 이야기는 여기서 마치도록 하겠습니다.
더 궁금하신 부분은 아래 댓글을 남겨주시면 제가 진료 후 답글 남기겠습니다.
지금까지 이지동안 강남본점 원장,
닥터도도 도재운이었습니다.
감사합니다.
'피부관리 > 여드름치료' 카테고리의 다른 글
| 여드름 붉은 자국 치료, 레이저로 얼마나 효과가 있을까? (0) | 2025.08.09 |
|---|---|
| 여드름 자국 레이저 치료, 붉은 자국 및 홍조 얼마나 좋아질까? (0) | 2025.03.09 |
| 여드름 흉터 레이저 치료, 정말 효과가 있을까? (0) | 2024.10.02 |
| 여드름 패인흉터치료 효과, 사람마다 천차만별인 이유? (1) | 2024.07.01 |
| 여드름 피부과 치료의 모든 것 4편 - 여드름 흉터 치료(후유증 치료의 시작) (0) | 2024.06.09 |
