2024. 8. 16. 23:52ㆍ리프팅/고주파리프팅
안녕하세요 이지동안 강남본점 원장,
닥터도도 도재운입니다.
오늘 포스팅 주제는 "써마지 리프팅" 입니다.
제가 인터넷을 보다가 이런 이야기들을 봤습니다.

바로 써마지 리프팅의 효과에 대한 질문들인데요.
다들 아시겠지만, 써마지의 경우 고가의 시술이다보니 '효과'에 대해서 불안해하시는 분들이 정말 많습니다.
제가 병원에서 상담을 할 때도 환자분들에게 "원장님 효과가 없으면 어떡하죠?" 이런 질문들을 심심치 않게 받고 있구요.
최근에는 한 환자분이 타원에서 써마지 리프팅을 받았는데, 효과가 없다는 이야기를 하셨는데요. 실제로 써마지 시술 후 효과를 체감하지 못하는 경우가 생각보다 많은 편입니다.
이번 시간에는 써마지 시술 후 효과가 체감하지 못했던 분들을 위한 이야기를 준비해봤습니다.
써마지 리프팅 시술 후 효과 없음?
써마지의 경우 다들 아시겠지만, 고주파 리프팅 장비 중 '원조격'에 해당되는 장비로써 효과도 상당히 좋은 리프팅 시술로 잘 알려져 있는데요.
그런데, 이런 써마지를 시술받고 효과가 없었다면 굉장히 실망감이 크실 겁니다.
대체 어떤 이유로 써마지 시술 후 효과가 없던 것인지 좀 더 객관적으로 설명드리고자 논문 자료를 하나 찾아왔습니다.


피부과 학계 논문 중에서는 손에 꼽히는 Dermatologic Surgery에 실린 논문입니다.
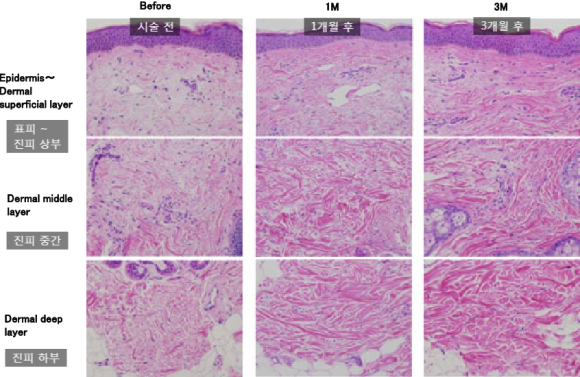
이 논문에서는 Radiofrequency Treatment(써마지) 효과를 객관적으로 파악하기 위해 시술 전, 시술 1개월 후, 시술 3개월 후 조직 검사를 진행해서 콜라겐의 증가를 확인했는데요.

왼쪽에서부터 시술 전, 시술 1개월 후, 3개월 후 사진입니다.
표피~진피 상부 / 진피 중간층 / 진피 하부층 3가지로 분류가 되어 있는데 모두 써마지 시술 후 콜라겐이 증가한 모습을 볼 수 있습니다. (핑크빛의 콜라겐이 모두 더 많아지고, 진해졌죠?)
이렇게 눈에 띄게 콜라겐이 늘어나면 당연히 피부결이나 탄력 등이 좋아질 수 밖에 없는데요.
논문에서도 효과가 좋다고 하는 써마지가 대체 왜 효과가 없던 걸까요?
닥터도도가 추측하는 써마지 시술 후 효과가 없는 이유?

제가 가장 먼저 의심하는 부분은
'에너지 강도 설정의 문제'입니다.
써마지는 에너지 레벨을 설정할 수 있는 장비입니다.
에너지 레벨은 써마지 효과와 정말 직결되는 부분이라 환자분에게 맞는 적정 에너지 값을 찾는 것이 중요합니다.
너무 약하게 받으면 효과가 없고, 너무 강하게 받으면 통증이 심하고 화상이나 물집 등이 생길 수 있거든요.
저에게 써마지 시술을 받아보신 분들은 아시겠지만 저는 시술 도중 환자분에게 계속 "괜찮으세요?" "아프진 않으세요?" 이런 질문을 하는데요.

다른 써마지 논문 자료를 하나 가지고 왔는데요.
(써마지 통증에 대해 다루는 파트입니다.)
써마지 통증을 0단계에서 4단계로 구분하고, 0단계(Nothing, 아무 느낌이 없다.)부터 4단계(Intolerable, 너무 아프다)가 있다면 이 논문에서는 2 ~ 2.5단계 시술을 받는 것을 권장하고 있습니다.
통증이 2 ~ 2.5단계면 참을만한 수준의 통증인데, 저는 이것보다 살짝 높게 에너지값을 세팅하는 편입니다. (그래야 써마지 효과를 제대로 볼 수 있거든요.)
무분별하게 에너지를 높일 필요는 없지만, 개개인마다 피부 두께, 탄력 정도 등이 다 다르다보니 이 에너지 값을 찾는 과정이 너무 중요한데..
써마지를 받을 때 아프지 않고 따듯하고 편했다..? 에너지 강도가 낮았을 가능성이 매우 높고, 이 때문에 효과가 떨어지셨겠지요..ㅠㅠ
이번 시간에는 써마지 리프팅 시술 후 효과에 대한 주제로 효과를 체감하지 못하는 이유가 무엇인지 자세하게 설명드려보았는데요.
최근에는 울쎄라, 써마지 등과 같은 프리미엄 시술들도 가격을 크게 낮춰 진행하는 병원들이 많은데요.
많은 환자분들이 비용적인 부담을 줄이고자 가급적 저렴한 병원을 찾지만, 저는 써마지나 울쎄라와 같은 시술은 비용보다 결과에 더 치중해서 병원을 선택하시길 권해드리고 싶습니다.
아무리 저렴하게 받아도, 결국 효과가 없으면 무의미하기 때문입니다.
써마지 FLX 내돈내산 후기, 기존 써마지 CPT와 차이점은?
안녕하세요 이지동안 강남본점 원장,닥터도도 도재운입니다. 제가 오랜만에 장비를 하나 구매했습니다. 바로 "4세대 써마지 FLX"입니다. 이번에 써마지 FLX를 구매했다고 하니 우리 직원
naturbeauty.tistory.com
< 써마지 FLX 내돈내산 후기 >
저도 오랜 기간 써마지 CPT를 사용하다가 최근 써마지 FLX를 도입해서 사용하고 있는데요. 닥터도도의 써마지 FLX 도입 후기가 궁금하신 분들은 위 글을 읽어보시면 도움되실 것 같습니다.
오늘 이야기는 여기서 마치겠습니다.
더 궁금하신 부분은 아래 비밀 댓글을 남겨주시면 제가 진료 후 답글 남기도록 하겠습니다.
지금까지 이지동안 강남본점 원장,
닥터도도 도재운이었습니다.
감사합니다.
'리프팅 > 고주파리프팅' 카테고리의 다른 글
| 울쎄라 리프팅, 이중턱 개선에도 효과가 있을까? (0) | 2025.04.16 |
|---|---|
| 써마지 리프팅 전후, 효과, 추천 대상까지 정리해봤습니다. (0) | 2025.04.01 |
| 인모드 리프팅 멍, 붓기 언제쯤 좋아질까?(feat. 전후 변화, 후기) (0) | 2024.08.07 |
| 써마지 리프팅 통증, 수면 마취까지 해야 할까? (1) | 2024.07.24 |
| 강남 써마지 리프팅 피부과, 어떤 기준으로 선택하나요? (0) | 2024.06.11 |
