2024. 6. 5. 23:02ㆍ리프팅/초음파리프팅
안녕하세요 이지동안 강남본점 원장,
닥터도도 도재운입니다.
오늘 포스팅 주제는 "울쎄라 피부과 잘하는곳"입니다.
환자분들마다 피부과를 선택하는 기준이 다르지만, 울쎄라와 같은 고가 리프팅 시술의 경우 '결과'에 대해 중요시 생각하는 환자분들이 많을 것 같습니다.
다들 조금이나마 좋은 결과를 보기 위해서 '울쎄라 잘하는 피부과'를 찾으려는 마음을 가지고 계실 텐데요.
저 또한 몸에 어떤 문제가 생겨 병원을 찾는다면, 조금이라도 잘하는 병원을 가려는 사람으로써, 우리 환자분들의 마음을 충분히 잘 이해하고 있습니다.
문제는 어떤 피부과가 잘하는가?
에 대한 의문이 아닐까 싶은데요.
사실 이를 명확하게 기준을 세워서 비교하기가 어렵기 때문에 많은 분들이 잘하는 피부과를 찾기 어려워하시는 것 같습니다. 그래서 제가 그동안 울쎄라를 오랜 시간 사용해오면서 느낀 울쎄라 잘하는곳에 대한 기준이 무엇인지 이야기를 해보려고 합니다.
단순히 글로만 설명드리면, 환자분들의 입장에서 너무 글이 난해하게 느껴지실 수 있으니 실제 울쎄라 시술 환자분의 후기와 함께 이야기를 해볼게요.
강남 울쎄라 리프팅, 피부과를 찾을 때 궁금했던 질문 총 정리
안녕하세요 이지동안 강남본점 원장, 닥터도도 도재운입니다. 오늘 포스팅 주제는 "울쎄라 리프팅" 입니다. 울쎄라는 부가적인 설명을 드리지 않아도, 이미 많은 분들이 알고 계신 프리미엄 리
naturbeauty.tistory.com
본론에 들어가기 앞서, 일전에 울쎄라와 관련해서 환자분들이 궁금해하셨던 질문들을 모아 정리해둔 포스팅이 있는데요. 오늘 글을 보기에 앞서 위 글도 함께 읽어보시면 도움되실 것 같습니다.
강남 울쎄라 피부과, 잘하는곳의 차이점?

실제 우리 병원에서 울쎄라를 진행하는 모습입니다.
울쎄라의 시술 과정을 찾아보시면 위와 같이 핸드피스를 피부에 접촉한 후 부드럽게 쉐이빙하는 모습을 보셨을 겁니다. 이는 울쎄라에서 출력되는 에너지를 전달하기 위한 과정이라고 보면 되는데요.
이런 과정에서부터 피부과마다
방식의 차이가 있습니다.
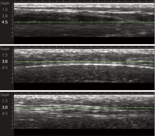
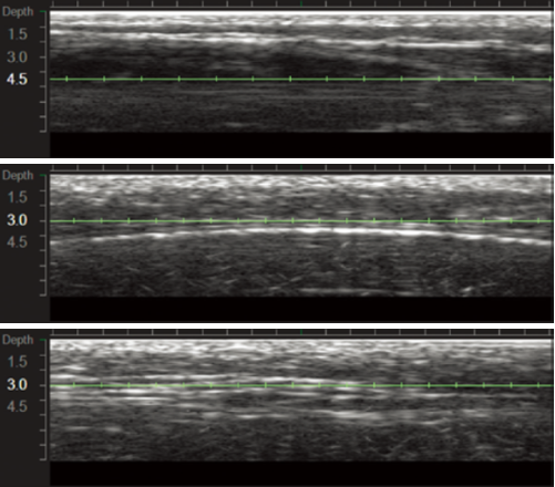
울쎄라의 경우 다른 초음파 리프팅 장비들과 다르게, DeepSee 라는 초음파 기술로 환자분의 피부층을 직접 확인하면서 시술이 가능한데요.
이를 어떻게 활용하는지에 따라 결과에도 차이가 발생하게 됩니다.

울쎄라 초음파 화면을 보면 단순히 피부층만 확인하는 것이 아니라 다양한 정보들을 파악할 수 있는데요.
1. 피부와 트랜드듀서(핸드피스)가 밀저하게 접촉되었는지?
2. 에너지가 타겟층에 제대로 전달되는 있는지?
3. 시술 전 젤을 너무 과하게 바르지 않았는지?
위와 같은 부분들을 실시간으로 체크하면서 에너지를 좀 더 효율적이고 정확하게 전달할 수 있습니다.
이러한 과정의 차이가 결과적인 차이도 만들구요.
강남 울쎄라 피부과 잘하는곳, 디자인의 차이?

울쎄라는 시술 디자인, 샷 수 배분, 시술 부위 상태를 고려한 트랜드듀서 선택 등 의외로 고려해야 할 부분이 많은 시술입니다.
울쎄라를 찾는 환자분들과 상담을 해보면 환자분들마다 고민 부위가 다르고, 원하시는 개선 정도도 다릅니다.
또한, 환자분마다 연령대·피부탄력·지방량·피부두께 등의 부분이 모두 다르기 때문에 이런 부분까지도 고려해야 하고요.
울쎄라는 좋은 시술 디자인과 꼼꼼한 시술이 진행되어야 좋은 효과를 줄 수 있고 이런 디테일이 잘하는곳과 그렇지 않은 곳을 나누는 기준이라고 생각합니다.
울쎄라 300샷 시술 후 솔직한 후기
환자분들 입장에서는 시술 전후 변화가 가장 궁금하실텐데요. 우리 병원 환자분의 울쎄라 300샷 후기도 한 번 볼까요?

울쎄라 시술 전 모습입니다.
피부가 두꺼운 타입에 속하는데, 피부 탄력이 떨어지면서 얼굴이 늘어진 상태이고 특히 턱 라인쪽의 처짐이 심한 상태.
울쎄라 300샷과 함께 온다(ONDA) 병합 시술을 같이 계획해드렸고 아래는 실제 환자분이 보내주신 시술 후 모습입니다.

사실 울쎄라는 즉각적인 효과보다는 중장기적으로 콜라겐이 재생되면서 탄력·타이트닝이 되는 효과를 기대하는 시술인데요.
이 환자분은 효과 발현이 빠른 온다리프팅을 결합해서 시술 직후부터 즉각적인 효과를 주고, 이후에는 울쎄라의 중장기적 효과를 통해 초기부터 1년 뒤까지 효과가 유지되는 것을 기대해볼 수 있답니다.
(온쎄라 = 온다 + 울쎼라 // 요즘 우리 병원에서 가장 인기있는 시술..)
어떤 시술을 잘하느냐, 못하느냐를 가리는 기준은 사람마다 다르겠으나..
제가 울쎄라를 10년 넘게 사용해오면서 느끼는 부분은 DEEPSEE를 얼마나 잘 활용하는가, 그리고 맞춤 디자인이 가능한가 이 두 가지 부분인 것 같습니다. (물론, 많은 케이스를 경험하고 숙련이 되는 것은 당연한 일이구요.)
울쎄라는 작은 디테일이
큰 차이를 만드는 시술입니다.
그래서 울쎼라는 공장형 병원이 아니라, 충분한 상담을 통해 환자분의 고민과 상태, 니즈를 파악하고 시술을 계획해줄 수 있는 의사와 병원을 만나는 것이 중요하다는 점. 기억해주시면 좋을 것 같네요.
오늘 포스팅은 여기서 이만 마치도록 하겠습니다.
더 궁금하신 부분이 있다면, 아래 댓글로 남겨주시면 제가 진료 후에 답글 남기도록 하겠습니다.
지금까지 이지동안 강남본점 원장,
닥터도도 도재운이었습니다.
감사합니다.

'리프팅 > 초음파리프팅' 카테고리의 다른 글
| 강남 울쎄라 리프팅 유지기간 및 시술 주기에 대하여 (0) | 2024.08.03 |
|---|---|
| 압구정울쎄라 300샷 시술 후 결과를 직접 보여드립니다. (0) | 2024.07.09 |
| 슈링크 유니버스 기존 1세대 슈링크와의 차이점은?(울트라F, 울트라 부스터 등) (1) | 2024.05.19 |
| 강남 울쎄라 리프팅, 피부과를 찾을 때 궁금했던 질문 총 정리 (0) | 2024.03.23 |
| 울쎄라 리프팅 시술 주기 6개월, 1년 정답은? (0) | 2024.02.07 |