2024. 2. 5. 22:22ㆍ피부관리/콜라겐부스터
안녕하세요 이지동안 강남본점 원장,
닥터도도 도재운입니다.
이미 아시는 분들도 있겠지만, 저는 스컬트라를 정말 많이 하고 사랑하는 의사입니다.
주말에 스컬트라 마스터 미팅을 다녀왔습니다.
안녕하세요 이지동안 도재운 원장입니다. 평소 미용과 시술에 대해 무거운 느낌의 정보 전달만 하다 보니 ...
blog.naver.com
< 스컬트라 마스터 미팅 Sculptra Master Meeting >
전국 단 10명만 있는 '스컬트라 마스터(Sculptra Master)'이자, 공식 키닥터로써 국내·외에서 다양한 활동을 진행하고 있고요.
그동안 스컬트라를 정말 많이 시술해오면서 우리 병원도 많은 분들에게 알려졌는지 평소 스컬트라 환자분들이 정말 많은 편인데요.
최근에 시간을 좀 내서 스컬트라 관련 영상을 하나 촬영했습니다.
닥터도도가 소개하는 스컬트라(Sculptra)
위 영상에서는 스컬트라의 원리, 특장점, 추천 대상, 비추천 대상, 주의사항 등 전체적인 부분을 정리해드렸는데요.
전반적인 내용은 영상을 시청하시면 확인하실 수 있고, 오늘 글에서는 조금 더 심도 있는 주제로 넘어가서 '스컬트라 눈밑 시술을 권하지 않는 이유'에 대한 이야기를 해보려고 합니다.
스컬트라 콜라겐주사 시술 부위?

스컬트라는 콜라겐 생성 촉진제 중에서는 오랜 역사를 가지고 있는 제품이고 정말 좋은 제품이지만, 모든 부위에 좋은 시술은 아닙니다.
물론 여러 부위에 시술이 가능하지만, 저는 보통 광대나 볼과 같은 부위에 시술을 권해드리고 있고요.
반면에 '눈밑'과 같은 부위는 비추천하는 편입니다.
눈밑 스컬트라의 경우, 다른 부위에 비해 부작용의 우려가 높기 때문인데, 이 부분을 설명하려면 스컬트라 결절에 대한 이야기를 좀 해봐야겠습니다.
스컬트라 콜라겐주사, 눈밑은 비추천하는 이유?

스컬트라 시술을 받아보신 분들은 아시겠지만,
스컬트라의 대표적인 부작용은 "결절"입니다.
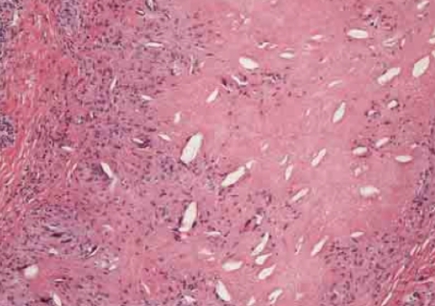
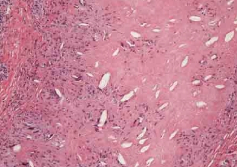
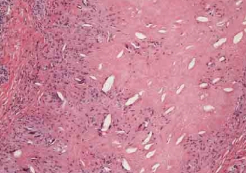
결절이란 스컬트라 시술 후 주입한 스컬트라가 뭉쳐서 단단하게 덩어리지는 부작용으로 이런 덩어리가 겉으로 만져지거나 돌출되기도 합니다.
또한, 결절은 스컬트라의 구성 성분인 PLLA(Poly L lactic acid) 성분만 뭉치는게 아니라 'PLLA가루 + 거대다핵세포' 형태로 형성되는데요.

위에 보이는 것처럼 스컬트라 결절이 발생하면 단단한 거대다핵세포들이 피부 속에 분포되어 있는 것을 볼 수 있죠.
스컬트라 결절 반응은 시술 부위에 따라 발생률이 달라지는데요.
결절 발생 가능성이 가장 높은 부위가 바로 '눈밑'입니다.
눈밑은 피부가 매우 얇기 때문에 결절이 한 번 발생하게 되면 외부에서 눈에 띄게 보이는 경우가 많구요.
사실 스컬트라 결절은 눈에 잘 띄지 않고 특별한 문제(통증, 염증 등)이 동반되지 않는다면 제거를 하지 않아도 크게 문제가 되지 않지만 눈밑은 이야기가 조금 다릅니다.
눈에 매우 잘 띄기 때문에 결절이 발생하면 대부분 제거를 원하시고요.
또한, 스컬트라는 HA필러와 달리 제거가 까다롭기 때문에 결절 발생 가능성이 높은 눈밑 부위의 경우 스컬트라 시술을 추천드리지 않습니다.
눈밑에 적합한 콜라겐주사 시술은?
보통 눈밑 스컬트라 시술을 찾는 분들은 눈밑이 움푹 꺼지는 문제 때문에 개선을 원하시는 경우가 대부분인데요.
눈밑 스컬트라를 대체할 수 있는 시술은 굉장히 많습니다.
눈밑꺼짐 시술은 우리 병원에서 워낙 많이 하는 편이라, 제가 블로그를 통해 이미 다양한 포스팅을 올린 적이 있는데요.
눈밑 콜라겐 주사, 필러와 차이점은?(눈밑 꺼짐 개선 시술)
안녕하세요 이지동안 강남본점 원장, 닥터도도 도재운입니다. 오늘 포스팅 주제는 "눈밑 콜라겐 주사"입니다. 평소 눈밑 꺼짐 때문에 고민이신 분들이라면, 다음과 같은 시술로 고민하고 계실
naturbeauty.tistory.com
< 눈밑꺼짐, 필러 대신 콜라겐주사 시술 >
비교적 간편한 필러 시술부터 시작해서 스컬트라가 아닌 다른 유형의 콜라겐부스터 시술이 좋은 방법이 될 수도 있구요.
다크서클 제거, 눈밑지방재배치 수술로 개선한 사례를 보여드립니다.
안녕하세요 이지동안 강남본점 원장, 닥터도도 도재운입니다. 오늘 포스팅 주제는 "다크서클, 눈밑지방재배치 수술로 개선한 사례" 입니다. 다크써클에는 필러? 당신의 다크써클필러 시술이 효
naturbeauty.tistory.com
< 눈밑지방재배치 수술 케이스 소개 >
조금 더 확실한 결과를 원하시거나, 눈밑 지방의 돌출 + 꺼짐이 동시에 있는 분들은 눈밑지방재배치와 같은 수술이 방법이 될 수도 있구요.
꼭 눈밑 스컬트라가 아니라도 대체할 수 있는 시술·수술이 많기 때문에 결절 부작용이라는 리스크를 안고 스컬트라를 해야 할 이유는 없겠지요.
왜 제가 눈밑 스컬트라 시술을 안하는지 이해가 조금은 되시지요?
이번 시간에는 스컬트라 콜라겐주사를 눈밑에 권하지 않는 이유에 대한 주제로 한 번 이야기를 해보았습니다.
스컬트라는 정말 좋은 시술이지만, 이를 다루는 술자의 경험과 노하우에 따라 결과의 차이가 큰 시술입니다.
이런 결과에는 단순히 '시술 후 변화된 모습' 뿐만 아니라 오늘 설명드린 '결절 과 같은 부작용'도 포함되는데요.
스컬트라를 '잘하는 의사'는 단순히 좋은 결과만 만드는 것이 아니라 부작용에 대한 대처도 준비되어 있는 의사라고 생각합니다.
또한, 무리하게 시술을 감행하기보단, 환자분이 원하는 니즈에 맞춰 적합한 시술 계획을 세워줄 수 있는 것도 중요하겠지요?
오늘 준비한 포스팅은 여기까지입니다. 더 궁금하신 부분은 아래 비밀 댓글을 남겨주시면 진료가 끝나고 답변드리도록 하겠습니다.
지금까지 이지동안 강남본점 원장,
닥터도도 도재운이었습니다.
감사합니다.
'피부관리 > 콜라겐부스터' 카테고리의 다른 글
| 스컬트라 효과, 시술 후 변화되는 과정을 후기로 보여드립니다. (0) | 2024.02.14 |
|---|---|
| 강남 스컬트라 피부과, 잘하는곳의 기준은 무엇일까? (0) | 2024.02.08 |
| 압구정 스컬트라 키닥터 원장이 직접 알려드리는 효과와 부작용 (0) | 2023.12.15 |
| 스컬트라 VS 에스테필 성분, 효과, 부작용 등을 총 정리 (0) | 2023.08.08 |
| 풀페이스 지방이식 수술없이 콜라겐 주사 시술로 개선한 사례(눈밑 꺼짐, 볼꺼짐 등) (0) | 2023.08.07 |
