비립종? 한관종? 두 질환의 차이점에 대한 이야기(원인, 증상, 제거방법 등)

2023. 7. 5. 23:04·피부질환

안녕하세요 닥터도도 도재운 원장입니다.

 

이번 시간에는 눈 주변에 생기는 여러 병변 중 가장 대표적인 병변인 '비립종' 그리고 '한관종'에 대해 알아보도록 하겠습니다.

 

 비립종(Milium)이란?

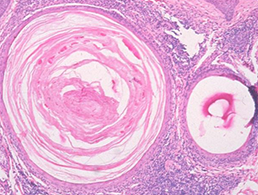
비립종 사례 / 조직학적 사진

 

비립종은 육안상 혹처럼 뽈록한데 가운데 하얀색이나 노란색 덩어리가 보이는 특징이 있습니다. 얼핏 보면 좁쌀 여드름이나 면포처럼 생겼으나 이런 트러블과 다르게 압출이 불가하고 오히려 상처가 날 수 있는데요.

 

조직학적 사진 보시면 여드름과 다르게 표피 바로 밑에 주머니가 있고 주머니 안에 각질이 차 있기 때문입니다.

 

이는 태어날 때부터 있는 일차성과 후천적으로 생긴 이차성으로 구분되며 모양은 거의 같습니다. 눈꺼풀이나 눈 주변, 볼에 잘 생기고, 사이즈는 1mm 내외입니다.

 

주로 선천적인 비립종보다는 후천적으로 생긴 이차성 비립종을 가진 분들이 더 많습니다.

 

 비립종 원인이 뭔가요?

비립종의 원인은 아직까지 명확하게 밝혀진 바가 없습니다.

 

다만, 기저질환 또는 약물 복용, 외상 등으로 생긴다고 알려져 있습니다.

 

 비립종 제거 방법은 무엇인가요?

비립종을 제거하는 방법은 크게 어렵지 않습니다.

 

피부에 바늘이나 레이저를 통해서 각질 주머니가 나올 만큼의 최대한 작은 구멍을 내서 주머니를 제거하기만 하면 됩니다. 이 과정에서 압출이 필요하고요.

 

비립종의 경우 당연히 '재발 가능성'이 있으며, 주변으로 번지거나 감염 가능성은 없으니 걱정하지 않으셔도 됩니다.

 

 

 한관종 (Syringoma)이란?

한관종 사례 / 조직학적 사진

 

한관종은 땀관종이라고도 불리고, 땀샘관 조직이 비정상적으로 늘어나서 생긴 양성 종양으로 조직학 사진에서 보는 바와 같이 관처럼 보이는 조직이 보입니다.

 

주로 눈 주변과 볼, 이마에 많이 생기지만 온 얼굴과 목까지 생기는 경우도 많이 봤습니다. 사이즈는 1mm~3mm로 비교적 다양합니다.

 

 한관종 원인이 뭔가요?

한관종도 마찬가지로 원인이 정확히 밝혀지지 않았습니다만.

 

유전적인 소인, 발생학적 이상, 피부 부속기의 염증성 변화, 호르몬, 당뇨 등과 연관이 있다는 보고가 있습니다.

 

 한관종 제거 방법은 무엇인가요?

 

한관종 제거 방법은 안에 주머니 같은 게 있지 않기 때문에 별도의 압출 과정은 필요없이 Co2 레이저로 제거하면 됩니다.

 

단, 눈으로 보기 보다 병변이 깊은 경우가 많아 흉터를 남기지 않는 범위 안에서 안쪽에 비정상적으로 증식된 땀샘관 조직까지 제거해야 합니다.

 

너무 얕게 뽈록한 부분만 제거하면 레이저 상처 회복과 동시에 재발을 다시 하게 되고 그렇다고 너무 깊게 파 버리면 흉터가 남기 때문에 매우 정교한 시술을 필요로 합니다.


이번 시간에는 간략하게 비립종과 한관종의 차이점에 대해 알아보았습니다.

 

두 병변 모두 눈 주변에서 발생되는 병변인만큼 많은 분들이 '제거'를 원하시는 경우가 많은데요. 문제는 두 병변이 생각보다 형태가 비슷해 이를 감별 진단하는 것이 매우 중요하다는 점입니다.

 

눈 주변에 앞서 보여드린 것처럼 이상한 혹이 보인다면, 가장 먼저 정확한 '감별 진단'을 해줄 수 있는 의료진과 충분한 상담을 통해 제거 시술을 결정하시길 권해드립니다.

 

지금까지 여러분들의 피부·성형 고민의 해결사 닥터도도였습니다.

반응형

'피부질환' 카테고리의 다른 글

눈 비립종 제거, 무리한 압출은 흉터 치료로 이어질 수 있습니다.  (0) 2025.06.30
얼굴홍조, 안면홍조 혈관 레이저로 기대할 수 있는 치료 효과는?  (0) 2023.08.02
붉은 흉터? 켈로이드에 관한 모든 것(원인, 특징, 치료 방법 등)  (0) 2023.06.09
주근깨? 흑자(검버섯? 기미? 색소 질환을 제대로 알아야 올바른 치료가 가능합니다.  (0) 2023.04.24
안면홍조 치료, 혈관 레이저 시술 케이스 소개(GV 레이저)  (0) 2023.04.08
'피부질환' 카테고리의 다른 글
  • 눈 비립종 제거, 무리한 압출은 흉터 치료로 이어질 수 있습니다.
  • 얼굴홍조, 안면홍조 혈관 레이저로 기대할 수 있는 치료 효과는?
  • 붉은 흉터? 켈로이드에 관한 모든 것(원인, 특징, 치료 방법 등)
  • 주근깨? 흑자(검버섯? 기미? 색소 질환을 제대로 알아야 올바른 치료가 가능합니다.
Doctor. DODO
Doctor. DODO
닥터도도, 도재운 블로그에 오신 것을 환영합니다. 미용시술·성형에 대한 솔직한 이야기
  • Doctor. DODO
    닥터도도
    Doctor. DODO
  • 전체
    오늘
    어제
    • 전체글 (775)
      • 닥터도도 (58)
        • Doctor Doh (7)
        • 학회·학술활동 (39)
        • 사회·봉사활동 (0)
      • 필러 (247)
        • 턱필러 (8)
        • 이마필러 (40)
        • 입술필러 (36)
        • 팔자주름필러 (10)
        • 풀페이스필러 (6)
        • 코필러·하이코 (54)
        • 필러·주의사항 (2)
        • 필러제거·부작용 (12)
      • 보톡스 (17)
        • 보톡스·주의사항 (2)
        • 보톡스·질문답변 (1)
      • 리프팅 (166)
        • 실리프팅 (64)
        • 바디리프팅 (17)
        • 초음파리프팅 (23)
        • 고주파리프팅 (23)
        • 리프팅·주의사항 (3)
        • 리프팅·질문답변 (2)
      • 피부관리 (129)
        • 여드름치료 (25)
        • 안티에이징 (12)
        • 스킨부스터 (8)
        • 콜라겐부스터 (53)
      • 기타시술 (32)
        • 다크서클 (30)
        • 문신제거 (12)
        • 레이저제모 (3)
      • 피부질환 (35)
        • 손발톱무좀 (17)
        • 색소침착레이저 (9)
      • 성형수술 (12)
        • 눈성형 (10)
        • 코성형 (1)
        • 가슴성형 (0)
  • By닥터도도.v4.10.6
Doctor. DODO
비립종? 한관종? 두 질환의 차이점에 대한 이야기(원인, 증상, 제거방법 등)
상단으로

티스토리툴바