2023. 6. 28. 08:24ㆍ피부관리
안녕하세요 닥터도도 도재운 원장입니다.
제가 평소 가장 애용하는 장비를 하나 꼽자면 '인라이튼 루비 피코 레이저'를 말합니다.
흉터, 모공, 주름, 색소 치료 등 다방면으로 활용 가능하며, 다양한 질환을 치료할 수 있음에도 효과적으로 타 레이저들과 견주어도 결코 뒤쳐지지 않기 때문입니다.
그래서 이와 관련해서 여러분들께도 몇 차례 인라이튼 레이저를 소개드린 적이 있었는데, 이번 시간에는 이를 활용해서 실제 눈가 잔주름을 제거한 사례를 소개하고자 합니다.
사실, 저도 40대 중후반에 접어드니..이 잔주름이 여기저기 생겨서 참 고민인데 인라이튼이 여기에 얼마나 도움이 될 지 한 번 사진으로 보겠습니다.
인라이튼 니플스(NIFLS)


예전에 한 번 소개했던 건데, 제가 사용하는 인라이튼 루비 피코 레이저에는 '니플스'라는 MLA 렌즈를 별도로 장착해 프락셀 모드로 시술이 가능합니다.
위에 보이는 것처럼 핸드피스 앞에 MLA 렌즈를 장착하면, 프락셀 모드가 활성화되는 거지요.
아시는 분들도 있겠지만 본래 '프락셀'이라는 시술은 모공이나 흉터를 개선할 때 많이 사용되는 자극적인 시술인데, 여러 논문에서 피코 프락셀이 '눈가 주름' 치료에 도움을 준다는 내용들이 제법 많아 관심이 생겨 주제로 선정했습니다.
제가 흥미롭게 봤던 논문 하나를 보면서 이어갈게요.
눈가 잔주름에 대한 피코 프락셀의 효과?

간단히 설명하자면, 피코 레이저 755nm 알렉산드라이트를 이용해 눈가 주름을 치료하고 안전성과 효과에 대해 입증한다는 내용의 논문입니다.
위 논문에서 두 가지 사례를 임상 결과로 보고했는데.


두 사례 모두, 피코 레이저 755nm 알렉산드라이트 파장으로 1개월 간격, 3회 치료를 진행한 사례인데요. 전후 모습을 비교해보니 굵은 주름을 제외한 잔주름들은 상당 부분 정리된 것을 확인할 수 있었습니다.
임상 케이스가 두 개 밖에 없어 아쉽긴 하지만, 피코 레이저로도 눈가 잔주름 제거가 가능하다는 것을 확인하는데 좋은 사례로 보입니다.
피코 레이저의 주름 제거 원리?

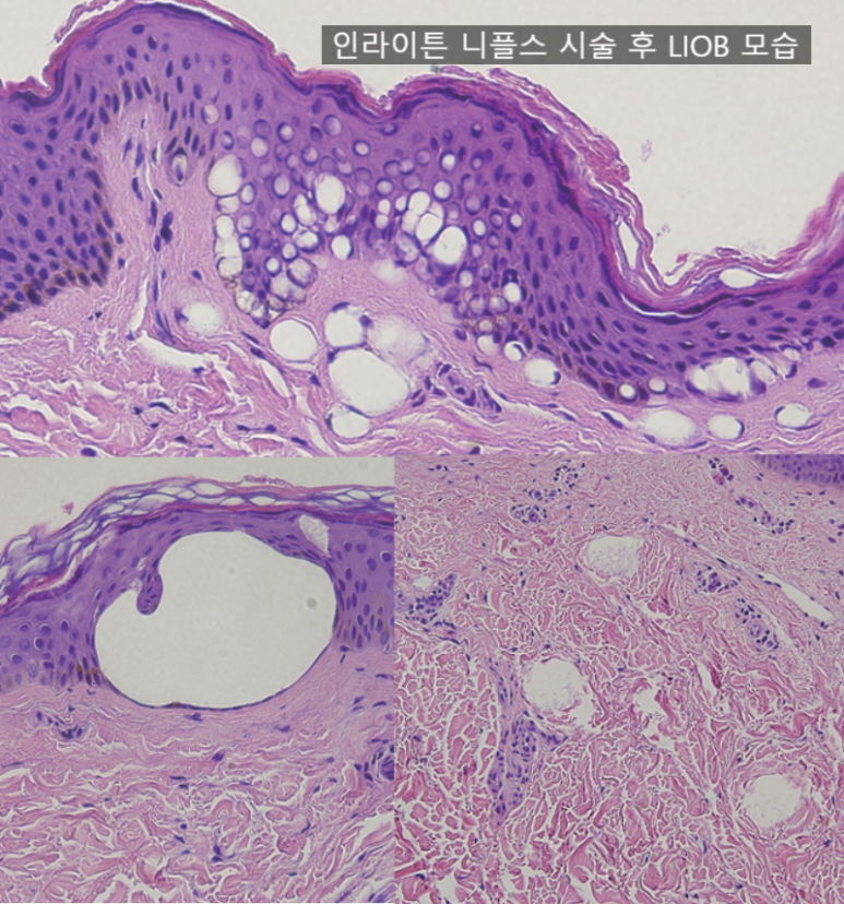
피코 레이저로 눈가 주름을 치료할 수 있는 원리는 바로 피코 레이저의 'LIOB(Laser Induced Optical Breakdown)' 현상에 있습니다.
LIOB란, 높은 에너지로 인해 플라즈마 효과가 발생해 공동화 현상을 만들어 피부의 새 조직이 차오르도록 만드는 효과입니다.
위 조직학 사진을 보면, 피부 조직 곳곳에 하얗게 구멍이 뚫려 있는 것이 보이죠? 이 공간이 시간이 지나면 피부 재생 반응이 일어나며 새 조직으로 채워지게 됩니다.
이런 과정이 반복되면서 흉터, 모공, 주름 등과 같이 움푹 패인 피부가 새롭게 차오르는 것이죠.
인라이튼 니플스 눈가 잔주름 제거 사례


제가 사용하는 인라이튼 니플스로 눈가 잔주름을 개선한 사례입니다.
시술 전, 후를 비교해보면 눈가 잔주름이 정리되면서 피부 텍스처도 훨씬 매끄러워진 것을 볼 수 있는데요.
위 사례는 제조사에서 제공한 사례라 정확한 시술 횟수가 표기되어 있지 않지만 이런 효과가 1회에 바로 나타나는 것이 아니라 여러 차례 반복 시술을 필요로 합니다.
눈가 주름은 나이가 들면 누구나 생기는 주름으로, 한 번 생기면 개선하기가 쉽지 않습니다.
그래서 눈가 주름과 관련된 다양한 시술들이 있는 거고요. 오늘 소개한 피코 프락셀 외에도 보톡스, 필러, 콜라겐 주사 등 눈가 주름을 없애기 위한 다양한 시술들이 있고 환자의 피부 상태나 주름 정도에 따라 적합한 시술들이 다 다릅니다.
눈가 주름 때문에 시술을 알아보고 있는 분들이라면, 특정 시술이 아닌 본인에게 적합한 치료 방법을 찾아줄 수 있는 의사를 만나 충분한 상담을 통해 결정을 내리시길 바랍니다.
지금까지 여러분들의 피부·성형 고민의 해결사 닥터도도였습니다. 감사합니다.
'피부관리' 카테고리의 다른 글
| 스킨보톡스 + 새살주사 시술로 얼굴 흉터, 꺼짐 개선한 사례(가성비 좋은 피부과 시술) (0) | 2023.08.09 |
|---|---|
| 얼굴 손톱 흉터, 패인 흉터 레이저 치료 사례 소개(레가토, 리쥬란, 새살주사) (0) | 2023.07.12 |
| 아쿠아필(Aqua peel) 피부 관리, 필링 시술에 대하여(원리, 효과, AHA, BHA 등) (0) | 2023.04.25 |
| MD 크림? 리쥬에이드? 키오머3? 피부장벽강화를 도와주는 시술을 소개합니다. (0) | 2023.04.10 |
| 눈가 잔주름, 여드름 흉터 제거 시술 'SSRT'를 소개합니다. (0) | 2023.03.01 |