2023. 3. 31. 22:39ㆍ카테고리 없음
안녕하세요 닥터도도 도재운 원장입니다.
올리지오 리프팅 레이저 원리, 효과, 통증, 부작용 등 총 정리
안녕하세요 닥터도도 도재운 원장입니다. 오늘은 요즘 가장 주목받고 있는 '올리지오 리프팅'에 대해 알아보도록 하겠습니다. 올리지오 리프팅이란? 올리지오는 Monopolar RF 에너지를 기반으로 하
naturbeauty.tistory.com
울쎄라 리프팅 강하게 받으면 효과가 더 좋다? 의료진이 직접 알려드립니다.(통증 강도 차이)
안녕하세요 닥터도도 도재운입니다. 울쎄라 통증 줄이는 방법? 무통 울쎄라? 의료진이 직접 정리해봤습니다.(수면마취, 에어녹스 등) 안녕하세요 닥터도도 도재운 원장입니다. 울쎄라 리프팅 효
naturbeauty.tistory.com
써마지 CPT, 올리지오 리프팅 레이저 의사가 직접 비교해봤습니다.(원리, 효과, 가격 등)
안녕하세요 닥터도도 도재운 원장입니다. 진료를 마치고 컴퓨터 앞에 앉았습니다. 오늘은 유독 올리지오를 찾는 환자분들이 많았는데요. 출시된지 3년에 가까워지면서 제법 많은 환자분들에게
naturbeauty.tistory.com
이미 알고 계신 분들도 있겠지만, 제가 운영 중인 우리 병원에는 이미 울쎄라, 써마지, 슈링크 유니버스, 인모드, 올리지오 등 정말 다양한 리프팅 장비가 있습니다.
현재 보유한 장비만으로도 사실상 거의 대부분의 레이저 리프팅 시술을 진행함에 있어 부족함이 없을 정도이지요.
하지만, 그럼에도 불구하고 제가 장비 욕심이 있다보니 새로운 장비가 나오면 항상 먼저 써보고, 빠르게 도입하는 편인데요. 이번에도 크게 flex한 장비가 하나 있어 여러분들께 소개해보려고 합니다.
| 온다(ONDA) 리프팅? |

아마 대부분의 환자분들이 리프팅 레이저라고 하면, '고주파(RF, Fadio Frequency)' 또는 '초음파(HIFU, High Ontensity Focused Ultrasound)' 방식을 가장 먼저 떠올리실 텐데요.
그런데 온다 리프팅은 이런 방식이 아닌, 극초단파(Microwave)를 사용합니다.
극초단파는 표피에서 에너지를 손실하지 않고 이를 투과하여 진피층에 곧장 열을 집속시키기 때문에 표피 손상이 없고 더욱 효과적인 리프팅, 타이트닝 시술이 가능하게 만들어주는데, 극초단파에 대해 생소하실 여러분들을 위해 간단하게 설명해볼게요.
| 극초단파(Microwave)란? |

극초단파에 대해서 이해하기 쉽게 제조사 이미지를 하나 가져왔습니다.
기존 고주파 레이저의 경우, 표피층에서 이미 70% 가까운 에너지를 소실하기 때문에 실제 진피층에 도달하는 에너지는 30% 가량 밖에 되지 않는다고 합니다.
반면, 온다 리프팅은 표피층에서 소실하는 에너지가 20% 밖에 되지 않기 때문에 진피층에 80%에 가까운 에너지를 전달할 수 있다고 하는데.
실제 임상 대상에 대한 명확한 데이터가 없이 이런 자료만으로 100% 신뢰할 수는 없겠지만, 극초단파라는 방식 자체가 기존에 없던 방식이기도 하고, 필드에서 사용했을 때 이를 활용해 더욱 다양한 시술 방식들을 적용할 수 있다는 판단하에 장비를 들여오게 되었습니다.
| 온다 리프팅 효과? |


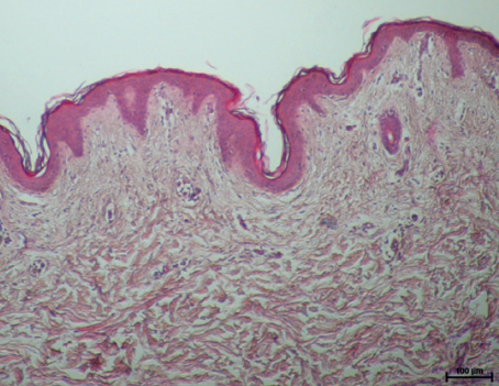
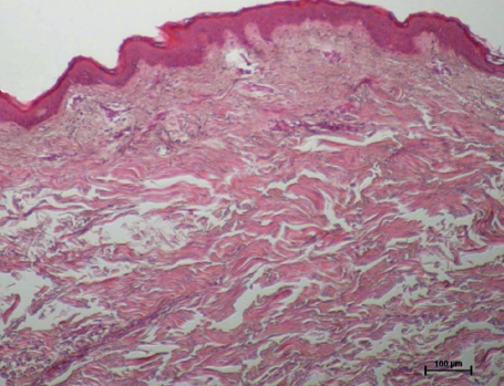
실제 온다 리프팅 시술 후 피부 진피의 콜라겐 변화를 확인한 조직학 사진입니다.
시술 전과 후를 비교해보면 콜라겐 생성을 통해 훨씬 치밀해진 피부층을 확인할 수 있죠.


온다 리프팅 시술 전, 4회 시술 후 모습입니다.
불독살이 심한 케이스인데, 온다 리프팅 시술 후 불독살도 많이 좋아지고, 잔주름이나 볼 전체의 피부 탄력이 개선된 것을 확인할 수 있죠.
| 온다 리프팅 시술 통증? |

온다 리프팅의 경우 또 한 가지 특징이 있다면, 'Coolwaves 기술'입니다.
접촉식 쿨링으로 핸드피스에 피부 표피층을 차갑게 유지해주는 온도 센서가 탑재되어 있어, 시술 시 표피 온도를 낮춰주는 기술인데요. 실제로 거의 통증을 느끼지 못할 정도로 효과가 좋아서 시술 통증이 민감한 분들에게도 좋은 장비라고 생각합니다.
자, 오늘 이렇게 온다 리프팅에 대해 이야기를 해보았습니다.
온다 리프팅은 아직 출시된 지 오래되지 않아서 임상 데이터가 부족하지만, 이전에 없던 극초단파라는 새로운 방식을 사용하여 현 리프팅 장비 시장에서 많은 관심을 받는 장비입니다.
저도 필드에서 사용한 지 얼마 되지 않아서, 더 디테일한 부분은 차후에 말씀드릴 수 있을 것 같네요. 기회가 된다면 나중에 한 번 더 온다리프팅 실사용기와 관련한 이야기를 해보려고 합니다.
끝까지 읽어주셔서 감사합니다. 더 궁금한 부분은 비밀 댓글을 남겨주시면 확인 후 답변드리겠습니다.