2022. 11. 13. 23:51ㆍ피부질환/색소침착레이저
안녕하세요 닥터도도 도재운 원장입니다.
여름 시즌은 모두 끝났지만 아직 여름의 흔적은 우리 몸에 남아있습니다.
바로 기미, 잡티, 흑자 등과 같은 자외선으로 인한 색소질환들입니다.
그래서 여름 시즌이 끝나면 가장 많은 환자분들이 찾는 시술 중 하나가 바로 색소침착 레이저 시술인데요.
이번 시간에는 여러 색소질환 중 '흑자'에 관한 이야기를 해보려고 합니다.

저도 예전에 얼굴 흑자 때문에 치료를 받았던 적이 있어 사진을 가져왔습니다.
눈밑에 있는게 흑자이고, 턱 쪽에 있는 건 단순 색소침착입니다.
일반적으로 많은 분들이 알고 계신 기미, 잡티와 같은 색소침착은 제거가 어렵고 재발이 심해 5~10회 이상의 치료를 필요로 한다고 알고 계신 분들이 많습니다.
하지만 그와 달리, 흑자는 제거가 비교적 쉬운 편인데요.
색소침착 레이저로 1~2회 정도만 시술을 받아도 좋아지는 경우가 많으며, 많아도 5회 이상을 넘지 않는 경우가 대부분입니다.
출력이 좋은 장비로 강하게 시술한다면은. 1회만으로도 끝내버릴 수 있겠으나 레이저로 인한 과색소침착이 남을 수 있어 저는 강도와 횟수 조절을 하는 편입니다.

제가 직접 1회 시술을 받은 후 일주일 뒤에 촬영한 사진입니다.
시술 전과 비교해서 어느 정도의 호전도를 보였는지 비교해볼게요.


시술 전과 비교해보면 확실히 시술 전에 비해서 흑자가 옅어진 모습을 확인할 수 있습니다.
단순 색소침착의 경우 약간의 흔적을 남기곤 대부분 제거된 것을 볼 수 있지요.
당시 시술을 할 때 색소침착 레이저 강도를 최저로, 가장 낮춰서 시술했던 기억이 있습니다.
물론, 강도를 무조건 낮춘다고 좋은 것은 아닙니다.

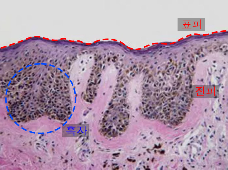
흑자가 있는 피부의 단면 모습입니다.
검은 좁쌀 같은 점들이 '멜라닌 색소'인데요. 이런 멜라닌 색소가 과도하게 증식하면서 기미, 흑자, 주근깨 등과 같은 색소질환을 유발합니다.
흑자의 경우 과증식된 멜라닌색소가 피부 진피까지 깊게 위치해 있고 피부 표면의 변형을 동반하기 때문에 출력 강도를 높여서 흑자를 무리하게 제거하려고 하면 과색소침착 발생 가능성이 매우 높아집니다.
*과색소침착 : 강한 레이저 에너지로 인해 피부에 색소침착이 발생하는 것.
고출력 레이저로 강하게 치료하는 경우, 50% 정도가 과색소침착이 발생한다고 합니다.
흑자제거 레이저 뿐만 아니라 색소침착 치료를 할 때에는 항상 부작용 문제를 생각해야겠지요.


저는 색소나 여드름 등과 같은 피부질환 치료 시 피부 진단기로 가장 먼저 피부 상태를 진단합니다.
육안상으로 확인할 수 있는 한계가 분명 존재하기 때문에 육안상으로 보이지 않는 부분까지 진단하기 위해 피부 진단기를 활용하여 피부 상태를 정밀하게 분석합니다.
많은 환자분들이 색소치료 시 무리하게 제거를 하려고 하는 경우가 많은데요.
흑자의 경우 낮은 출력으로도 안정적인 제거가 가능하기 때문에 꼭 무리하게 고출력, 고강도로 제거를 할 필요는 없다고 생각합니다.
적정 시술 횟수를 말씀드리자면.
면적이 넓고 색소가 깊이 있다면 3~5회.
면적이 좁고 색소도 깊지 않다면 1~3회.
보통 이 정도를 생각하시면 좋습니다.
부작용이 있어도 괜찮고 빨리 제거를 원한다면은. 그렇게 제거 시술을 해드릴 수도 있지만. 저는 제 환자분들은 부작용이 없었으면 좋겠고. 일상생활에 큰 불편함이 없이 제거하길 원해서 여러 나눠서 시술을 진행하고 있습니다.
흑자제거에 대해 궁금하신 사항은 블로그에 비밀댓글로 남겨주시면 근무 후 답변 드리겠습니다.
'피부질환 > 색소침착레이저' 카테고리의 다른 글
| 피코 레이저 토닝, 일반 레이저와 뭐가 다른가요? 원리부터 효과까지 정리해봤습니다. (0) | 2023.03.16 |
|---|---|
| 흑자 제거, 레이저 치료 효과? 의료진이 직접 알려드립니다. (1) | 2023.03.13 |
| 기미, 흑자 제거 실제 GV레이저로 얼마나 효과가 있을까? 직접 보여드립니다. (0) | 2023.02.16 |
| 색소침착 레이저 1회? 10회? 몇 번 정도 받아야 치료가 될까요?(인라이튼 루비피코) (2) | 2022.11.24 |
| 기미, 잡티 제거 레이저 치료는 재발까지 고려해야 합니다. (1) | 2022.10.06 |