2022. 10. 12. 23:42ㆍ기타시술/다크서클
안녕하세요 닥터도도 도재운 원장입니다.
오늘은 누구나 한 번쯤 고민해봤을 '다크서클'에 대해 총 정리해보겠습니다.
제가 예전에 다크서클을 주제로 촬영했던 유튜브 영상입니다.
시간상 글을 구독하시기 어려운 분들은 영상을 참고하시면 좋을 것 같습니다.
다크서클의 원인

다크서클이 발생하는 원인은 다양하지만 저는 크게 네 가지 정도로 구분하고 있습니다.
1. 꺼짐성 다크서클
2. 색소성 다크서클
3. 비침성 다크서클
4. 지방성 다크서클
각 원인마다 다크서클 치료 방법이 달라지기 때문에 원인을 분석하는 과정은 매우 중요합니다.
지금부터 각 원인별 다크서클 사례를 보면서 설명을 이어갈게요.
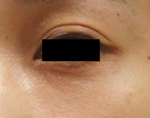
꺼짐성 다크서클


다크서클의 다양한 원인 중 가장 많은 비중을 차지하는 꺼짐성 다크서클 사례입니다.
꺼짐성 다크서클은 눈밑 지방의 소실로 인해 눈밑이 움푹 꺼지면서 나타나는데요.
눈밑 꺼짐 정도에 따라서 크게 두 가지 방법으로 개선할 수 있습니다.
눈밑 꺼짐이 얕은 경우 '필러'
눈밑 꺼짐이 깊고 넓은 경우 '지방이식'
위 환자분처럼 눈밑 꺼짐이 심하지 않다면 간단한 필러 시술로도 어렵지 않게 개선할 수 있지만, 너무 심한 꺼짐성 다크서클은 필러로 개선이 어렵습니다.
필러를 이용한 다크서클 치료법은 소실된 지방을 필러로 대체하여 주변 피부와의 단차를 없애는 원리인데 용량이 늘어날수록 필러 처짐, 뭉침 등과 같은 부작용 우려가 커지기 때문이죠.
색소성 다크서클


색소성 다크서클의 경우 다른 다크서클 유형에 비해 치료가 매우 까다로운 유형에 속합니다.
환자분들마다 색소 침착 정도, 색소의 깊이 등이 다 다르고 한 번 자리잡은 색소는 쉽게 사라지지 않기 때문이죠.
일반적으로 색소침착 레이저를 이용해 과도한 멜라닌 색소를 파괴하여 색소를 점차 옅어지게 만드는 방법으로 치료를 진행하는데요.
1~2회 정도로는 효과를 보기가 어렵고 반복 시술을 진행해야 합니다.
여러 차례 시술을 진행하는만큼 전체 치료 횟수를 줄이면서 좋은 결과를 보기 위해선 무엇보다 '장비의 선택'이 첫째로 가장 중요하고. 그 다음으로는 환자마다 다른 색소 상태를 고려해 적합한 에너지 파장, 출력 강도 등을 셋팅하는 것이 중요합니다.
저도 다양한 색소 유형에 따라 적합한 치료를 진행하기 위해 인라이튼3, 클라리티, GV레이저 등 다양한 레이저 장비들을 사용하고 있습니다.


비침성 다크서클은 주로 눈밑 피부가 얇은 환자에게 쉽게 나타나는 유형입니다.
눈밑 혈관이 확장되거나 피부가 얇아 눈밑의 혈관이 피부에 푸르스름하게 비춰지는 것인데요.
그래서 눈밑 꺼짐이 있는 분들이 이런 혈관 비침 문제까지 동반된 경우가 많은 편이지요.
이런 혈관 비침성 다크서클은 혈관 레이저를 이용해 눈밑에 확장된 혈관을 파괴, 수축시켜 개선할 수 있습니다.
혈관 레이저의 경우 생각보다 효과가 좋은 편이라 실제로 치료 만족도도 높은 편입니다.
지방성 다크서클


마지막으로 지방성 다크서클은 주로 40대 중년 이상에서 가장 많이 나타나는 유형입니다.
노화로 인해 눈밑 지방, 피부 탄력이 저하되어 아래로 처지면서 불룩하게 돌출되는 것인데요.
이 경우 일반적인 시술로는 개선하기가 어렵고 '눈밑지방재배치, 지방제거, 하안검' 등과 같은 외과적인 수술로 개선할 수 있습니다.
간혹 지방 돌출 정도가 심하지 않은 분들의 경우 필러, 지방이식을 통해 개선이 가능한 경우도 있긴 합니다.
다크서클은 원인 분석이 가장 중요합니다.
지방 소실, 피부 처짐, 혈관, 지방돌출 등 다양한 원인이 있고 이에 따라 적합한 치료 방법도 크게 달라집니다.
일반적인 피부, 미용 시술과 달리 개인의 선호도보다 원인에 따라 적절한 치료를 진행하는 것이 중요한만큼 환자 본인의 상태를 정밀하게 분석, 진단할 수 있고 필요한 치료를 진행해줄 수 있는 의사를 만나 충분한 상담 후 치료를 결정하시길 권해드립니다.
끝까지 읽어주셔서 감사합니다. 이외에 궁금하신 부분은 비밀 댓글로 남겨주세요.
'기타시술 > 다크서클' 카테고리의 다른 글
| 눈밑 다크서클 필러, 시술 후 나타나는 부작용? (0) | 2024.02.13 |
|---|---|
| 다크서클 제거 방법, 원인 분석이 가장 중요한 이유?(필러, 콜라겐주사, 수술 등) (0) | 2024.01.20 |
| 눈밑다크서클 수술 시술, 제거 방법을 선택하는 기준에 대하여 (2) | 2023.12.09 |
| 다크서클 제거, 눈밑지방재배치 수술로 개선한 사례를 보여드립니다. (2) | 2023.11.14 |
| 다크써클 제거 방법을 결정할 때에는 눈밑 상태를 고려해야 합니다.(필러, 지방이식, 레이저 등) (0) | 2023.03.13 |